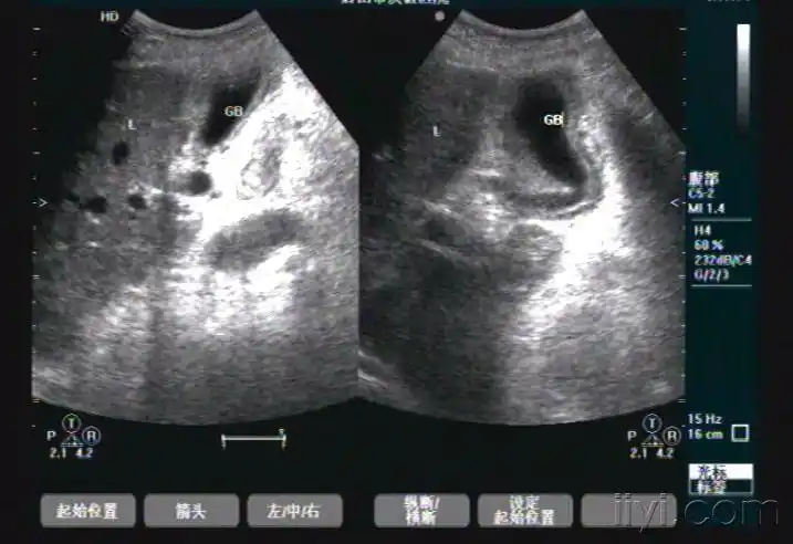
胆囊腺肌症可能,请指教 - 超声医学讨论版 - 爱爱医医学论坛

高清图片下载 免费 安全无风险
胆囊腺肌症可能,请指教 - 超声医学讨论版 - 爱爱医医学论坛

胆囊腺肌症可能,请指教 - 超声医学讨论版 - 爱爱医医学论坛

点击图片查看原图

图片信息

  • 格式: JPG
  • 尺寸: 720x576
  • 大小: 约1.2MB

版权声明

相关标签

自然风光 高清壁纸 4K画质

分享图片

相关推荐

基于当前图片的相似推荐

胆囊腺肌增生病的超声表现

高尚超声:胆囊腺肌症一例

图3-19 胆囊腺肌症(节段型)

胆囊腺肌症 - 超声医学讨论版 - 爱爱医医学论坛 - 爱爱医医学网

胆囊腺肌症? - 超声医学讨论版 - 爱爱医医学论坛

超声课件5胆囊腺肌症ppt

胆囊腺肌症及其它美图分享

胆囊腺肌增生病的超声表现

胆囊腺肌增生病的超声表现

胆囊腺肌症患者中药治疗痊愈病例

胆囊疾病的超声诊断

随机推荐

发现更多精彩图片

千里之外钢琴谱-周杰伦-minzi piano-虫虫钢琴

最终幻想xiii2闪电壁纸

湖山景观高清壁纸1920x1200分辨率查看

高清壁纸-淮安市白马湖旅游度假区

钻石城2021/10/4_哔哩哔哩bilibili_辐射4

小型露台装修效果图,小型露台要怎么装修

剑网3壮志凌云七秀门派跟宠攻略详解一览

你们不是正经来打麻将的!