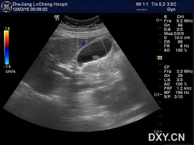
考虑急性坏疽性胆囊炎伴穿孔可能——zengerya - 超声医学讨论版

高清图片下载 免费 安全无风险
考虑急性坏疽性胆囊炎伴穿孔可能——zengerya - 超声医学讨论版

考虑急性坏疽性胆囊炎伴穿孔可能——zengerya - 超声医学讨论版

点击图片查看原图

图片信息

  • 格式: JPG
  • 尺寸: 712x532
  • 大小: 约1.2MB

版权声明

相关标签

自然风光 高清壁纸 4K画质

分享图片

相关推荐

基于当前图片的相似推荐

【胆囊】胆囊典型病例传一发 - 超声医学讨论版 - 专业医生社区,医学

超声入门急慢性胆囊炎超声如何诊断

诊断 坏疽性胆囊炎伴穿孔 病例要点 超声上,复杂性或坏疽性胆囊炎可能

【请教】胆囊息肉有血流吗? - 超声医学 -丁香园论坛

萎缩性胆囊炎胆结石 - 超声医学讨论版 - 爱爱医医学论坛

气肿性胆囊炎超声表现为胆壁非游离面或腔内出现强回声(气体), 伴有

胆囊炎 心房纤颤 心功能不全 考虑患者高龄 基础病较多 行超声引导

胆囊壁囊肿 - 超声医学 - 专业医生社区,医学,药学,生命科学,科研学术

因上腹痛1周来我院门诊咨询,经检查诊断为胆囊结石伴胆囊炎

肠粘连松解术后并发急性胆囊炎胆囊穿孔一例

随机推荐

发现更多精彩图片

5位韩星减肥前后大对比,公开食谱管理&运动方式!

雪女王冰冷的艾尔莎宫壁纸

赵今麦素颜"美到不敢信",晒"男友视角"近照,"真实身高"引猜测

端坐于霜天吧,冰轮丸!

美式卧室吊顶装修效果图

87版红楼梦黛玉葬花陈晓旭饰林黛玉

polaroidloveenhypen中文音译歌词

高中生微信头像女 - 搜狗图片搜索

感觉老番茄和他女朋友好甜哦

一组彩虹色聊天背景图今日盖章好评♡ - 堆糖,美图壁纸兴趣社区

好看绚丽多彩白发奶奶好看照片