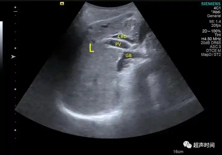
超声入门:急,慢性胆囊炎超声如何诊断?

高清图片下载 免费 安全无风险
超声入门:急,慢性胆囊炎超声如何诊断?

超声入门:急,慢性胆囊炎超声如何诊断?

点击图片查看原图

图片信息

  • 格式: JPG
  • 尺寸: 1080x584
  • 大小: 约1.2MB

版权声明

相关标签

自然风光 高清壁纸 4K画质

分享图片

相关推荐

基于当前图片的相似推荐

zengerya - 超声医学讨论版 - 爱爱医医学论坛

超声知识胆囊的常见疾病的超声诊断

【求助】胆囊超声声像图

【胆囊】胆囊典型病例传一发 - 超声医学讨论版 - 专业医生社区,医学

超声典型病例:胆囊切除术后又见胆囊

胆总管 - 超声医学讨论版 - 爱爱医医学论坛

超声检查显示胆囊窝未见胆囊显像,多角度扫描发现胆囊向下向后走行

超声医学讨论版 - 爱爱医医学论坛

胆总管囊状扩张又称胆总管囊肿-zengerya - 超声医学讨论版 - 爱爱医

超声医学讨论版 -丁香园论坛

华亭市人民医院超声科自主完成首例超声引导下ptcd

超声检查如何识别胆总管囊肿

随机推荐

发现更多精彩图片

这才是黄晓明完全素颜一点儿妆都没化的样子 像43岁的中年男人吗

感恩在行动手抄报_感恩手抄报简笔画

流行歌曲简谱 《孤勇者》《eiei》《一路生花》

丧图头像馆女生全是泪水的手机屏幕是打不了字的

今天来组简单的静物步骤图

清新靓丽的邻家女孩吴佳怡超高清写真图集

新超级马里奥兄弟u 路易u 美版下载 截图

糖葫芦又出幺蛾子了!忍得了黄瓜,忍得了寿司,看到它:食欲全无

全新hermes 爱马仕 手袋 constance 24 1h 啡色 evercolor 金扣