奶香四溢a2巴氏杀菌全脂鲜牛奶

高清图片下载 免费 安全无风险
奶香四溢a2巴氏杀菌全脂鲜牛奶

奶香四溢a2巴氏杀菌全脂鲜牛奶

点击图片查看原图

图片信息

  • 格式: JPG
  • 尺寸: 800x1200
  • 大小: 约1.2MB

版权声明

相关标签

自然风光 高清壁纸 4K画质

分享图片

相关推荐

基于当前图片的相似推荐

几款市售巴氏杀菌牛奶测评,让您健康喝好奶

新西兰进口newo纽渥巴氏杀菌有机冷藏鲜奶1l低温奶

澳大利亚原装进口a2巴氏杀菌100%鲜牛奶1l*1冷藏配送全国按量包邮

光明鲜牛奶 巴氏杀菌乳 7天低温短保鲜奶江浙沪皖包邮

伊源乳业原生态巴氏奶,全脂巴氏杀菌乳,奶制品批发

三元巴氏900ml鲜牛奶瓶装杀菌低温极致纯牛奶鲜纯低温奶

p>巴氏奶(pasteurised milk),又称巴氏乳,市乳,是由巴氏消毒法处理的

辉山鲜博士巴氏杀菌纯牛奶瓶装480g

巴氏奶是一种"低温杀菌牛奶",原奶中的有害微生物一般都已经杀死,但

100 纯净奶,5 7天空运,全程冷链 80年澳洲国民品牌 pauls巴氏杀菌牛奶

随机推荐

发现更多精彩图片

二次元最污cp情头头像

肺结核预防知识展板图片

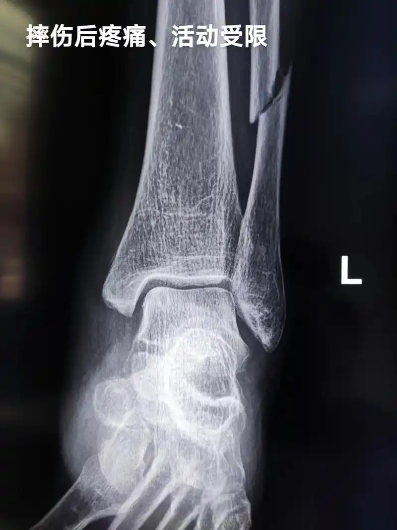
医学影像 摔伤致左小腿下段疼痛,活动受限,x线见腓骨骨折, - 抖音

男生勿进60只要1分钟选合适你的内衣

牙齿简笔画牙齿怎么画可爱卡通牙齿怎么画爱牙护牙简笔画图片张开嘴一

人类真的可以靠一个滑铲杀死老虎吗

名字让人欢喜让人忧 长相一般的"美女"想改名

北京故宫:牌匾或碑文汉字左,满文在右▲沈阳故宫:牌匾或碑文汉字在

《甜心超人》二得书画院-漫画课堂