赵又廷沉稳帅气西装写真图片67

高清图片下载 免费 安全无风险
赵又廷沉稳帅气西装写真图片67

赵又廷沉稳帅气西装写真图片67

点击图片查看原图

图片信息

  • 格式: JPG
  • 尺寸: 1024x1536
  • 大小: 约1.2MB

版权声明

相关标签

自然风光 高清壁纸 4K画质

分享图片

相关推荐

基于当前图片的相似推荐

赵又廷polo衫配西裤沉稳有型

夜华赵又廷与张钧甯秘恋三年无果,为何迎娶大5岁的高圆圆?

赵又廷发布造型写真休闲穿搭尽显潇洒干练

赵又廷的身材真占便宜穿一身黑色出门也能穿出霸气范

赵又廷绿色西装帅气活动照图片19

赵又廷现身bosscurated2019秋冬系列郑州限时体验店

组图赵又廷穿卡其色西服现身撞色搭配露绅士风范

赵又廷启程纽约时装周休闲装扮帅气儒雅

赵又廷《兰心大剧院》定档 与娄烨巩俐亮相威尼斯红毯

1/ 9赵又廷登男人风尚leon五月刊封面,状态轻松自如,全身白色的穿搭也

赵又廷现身穿黑色的短袖t恤搭五分裤很酷很有男人味

随机推荐

发现更多精彩图片

灿烈头发怎么弄的烫的什么?急求

超可爱好看的手绘卡通情头图片 小众不易撞的萌系情侣头像合集_情侣

永生干花玻璃罩礼盒玫瑰真花教师节礼物送老师生日礼物送女朋友

marine sporten tekst sweatshirts

土猪板油猪油新鲜生猪500g农家其它猪肉类

动漫风格的雨景壁纸繁华城市的手机壁纸雨天壁纸伤感图片动漫

悠然山动物乐园鸟语林

五星红旗1号2号3号4号5号普通五角星国旗红旗户外国旗厂家批发

焦作116人被警方曝光姓名及身份证号公布

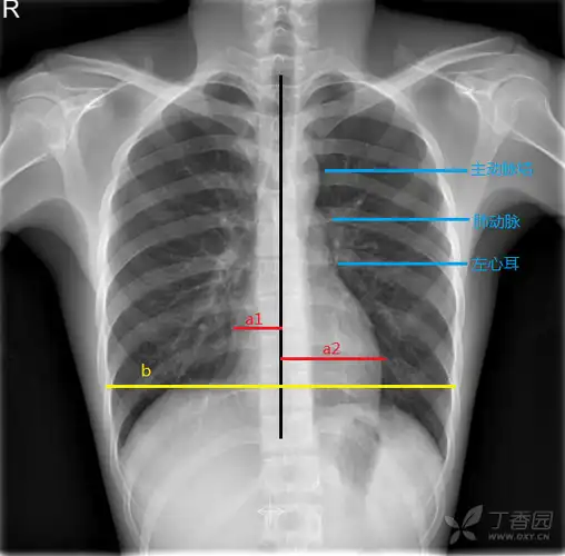
1-1 正常胸部 x 线平片(后前位)

魔兽世界兽人英雄盘点 wow钢铁部落的兽人英雄