县委副书记刘晓华,县委常委,常务副县长吴谦谦,县委常委,政法委书记

高清图片下载 免费 安全无风险
县委副书记刘晓华,县委常委,常务副县长吴谦谦,县委常委,政法委书记

县委副书记刘晓华,县委常委,常务副县长吴谦谦,县委常委,政法委书记

点击图片查看原图

图片信息

  • 格式: JPG
  • 尺寸: 550x366
  • 大小: 约1.2MB

版权声明

相关标签

自然风光 高清壁纸 4K画质

分享图片

相关推荐

基于当前图片的相似推荐

7月7日,原市人大常委会副主

傅云:谢谢杨健书记.下面请陈荣高书记介绍舒德智涉黑案办理情况.

"75后"的他,从新疆南下跨省任职_塔尔·胡加买提_吐鲁番市_上饶市

区委常委,统战部部长,政法委书记廖文华,副区长林辉,上饶高新区党工委

上饶市致力提升政法单位群众满意率

张强任江西省委政法委副书记图简历

文/图 记者李井红 熊伟健近日,上饶市委常委,市委政法委书记吴树俭

区委常委,统战部部长,政法委书记廖文华,副区长林辉,上饶高新区党工委

安徽政法委原一级巡视员朱学亮被查曾获全国优秀县委书记称号

弋阳县贯彻落实《江西省中长期青年发展规划(2018-202

周村区委常委,政法委书记赵彩霞一行参观淄博伟业不锈钢|淄博市_新浪

舒晓琴曾任江西省委常委,政法委书记,公安厅长

随机推荐

发现更多精彩图片

xqb80-q8h2f 8kg 全自动家用 波轮静音 节能洗脱一体波轮洗衣机(灰色)

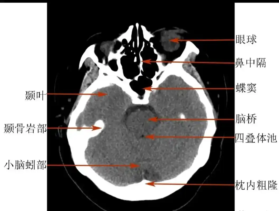
正常头颅ct.#愿所有人平安健康 #医学科普 #健康 - 抖音

海兰灰 - 晓鸣股份_宁夏晓鸣农牧股份有限公司

速写如何把速写画生动必须抓住动态线

兰州中支飞天花径香烟价格2023查询基本信息一览

零距离看我故宫修文物,百年大修何时休

"齐玩帝"萧昭业:不吹不黑,他也许是历史上最能玩的奇葩皇帝

传染疾病早预防,宝贝开心入校园 ——酒泉市第四幼儿园致家长的一封

简笔画教程 #美学 #红薯 #画画

一·二八事变地图简介

难忘的一件事初中作文500字pdf5页

母婴实体店装修设计图