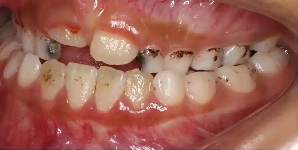
小孩的牙齿黑黑的是什么有没什么办法去掉

高清图片下载 免费 安全无风险
小孩的牙齿黑黑的是什么有没什么办法去掉

小孩的牙齿黑黑的是什么有没什么办法去掉

点击图片查看原图

图片信息

  • 格式: JPG
  • 尺寸: 600x450
  • 大小: 约1.2MB

版权声明

相关标签

自然风光 高清壁纸 4K画质

分享图片

相关推荐

基于当前图片的相似推荐

医生你好孩子牙齿上有黑色的斑是龋齿吗

幼儿园一个班级里,5个孩子是"小黑牙",原因却不是吃糖果

02有妈妈问儿童牙齿上的黑色东西是啥? - 抖音

求鉴定,宝宝牙龈上黑了一块 之前以为是瘀血,可是一个礼拜过去了好像

3岁小朋友牙齿有个洞,想看看是不是虫牙,北京补个牙去哪个公立儿童

三岁宝宝的牙齿黑怎么办?

10岁小孩牙齿黄黑怎么办?

一岁半宝宝牙齿上有黑色线状

求鉴定,宝宝牙龈上黑了一块 之前以为是瘀血,可是一个礼拜过去了好像

宝宝牙齿色素沉着怎么处理

一岁宝宝大牙牙龈出现一个青黑色的包

随机推荐

发现更多精彩图片

原创因为喜欢张国荣而入行后来却成为一剪梅的宣传大使

社会上不知有多少男人被戴了绿帽子

简笔画|【米妮】(附过程) 09 09 09 【用具】 44procreate

川藏线318交通要道四川雅江县这应该是中国最小的县城了吧

盘点我国五大基本国策之计划生育篇标语

10枚女王女神节日快乐乐插妇女母亲节蛋糕摆件节日装扮用品

蝙蝠袖卫衣女早秋季宽松薄款连帽oversize慵懒风高级感落肩上衣

0运费美林布洛芬混悬液30ml06g35ml盒用于儿童感冒1盒装关注店铺有礼

小女孩生日蛋糕可爱迪士尼公主冰淇淋苏菲亚美人鱼苏州同城配送新鲜