宜家风格二居装修造型壁灯图片

高清图片下载 免费 安全无风险
宜家风格二居装修造型壁灯图片

宜家风格二居装修造型壁灯图片

点击图片查看原图

图片信息

  • 格式: JPG
  • 尺寸: 1000x1500
  • 大小: 约1.2MB

版权声明

相关标签

自然风光 高清壁纸 4K画质

分享图片

相关推荐

基于当前图片的相似推荐

【壁灯调光器图片】壁灯调光器图片大全_q友网

北欧现代简约创意音符客厅房间卧室墙壁灯护眼温馨时尚led小壁灯

智能人体感应壁灯楼梯走廊入户玄关过道灯现代简约衣帽间充电壁灯

美到犯规9618款极简长条壁灯床头灯推荐.现代简约风装修,家 - 抖音

长条北欧极简线条壁灯led简约条形墙上电视背景墙壁灯卧室床头灯

苏宁优购 现代简约卧室床头灯壁灯 北欧创意轻奢楼梯客厅电视背景墙

【酒店壁灯中式图片】酒店壁灯中式图片大全_好便宜网

荷花壁灯图片-海量高清荷花壁灯图片大全 - 阿里巴巴

欧式壁灯安装要点是什么?

欧式现代玻璃圆形壁灯床头酒店客房走廊楼道玄关壁灯 卧室墙壁灯

随机推荐

发现更多精彩图片

《知青》亮相央视揭开尘封历史面纱

野洵 女头 侧脸喜收藏 禁二传.

刘惜君王赫野《大风吹》,火遍网络,魔性十足,让你悦耳醉心

生活中如何看待善意的谎言_大全-幸福起航

卡通男生饿了等吃表情包

人龙骨人体脊柱全息图高清

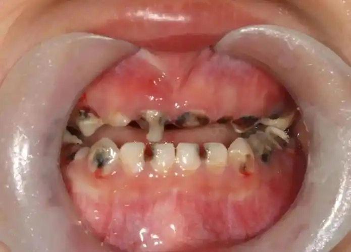
一颗烂牙引发骨髓炎四岁伢要刮骨疗毒

14,恶事香 祖师来收 15,疾病香 22,催供香 人来争打 - 抖音

[分享]伸缩缝柱模板加固图片资料下载