jk制服格子裙女学生裙子初中生少女格裙下半身百搭学院风百褶裙夏树莓

高清图片下载 免费 安全无风险
jk制服格子裙女学生裙子初中生少女格裙下半身百搭学院风百褶裙夏树莓

jk制服格子裙女学生裙子初中生少女格裙下半身百搭学院风百褶裙夏树莓

点击图片查看原图

图片信息

  • 格式: JPG
  • 尺寸: 800x800
  • 大小: 约1.2MB

版权声明

相关标签

自然风光 高清壁纸 4K画质

分享图片

相关推荐

基于当前图片的相似推荐

原创jk樱花姬 格裙 套装百褶裙女春a字高腰学院风日系格子松紧扣

(大西洋)东临社原创jk格裙校供格子裙正版银线高腰制服百褶裙现货

好好看的格裙#腼腆害羞内向社恐文静小女生 #jk #甜妹 @ - 抖音

现货冰淇淋中牌制服馆jk正版制服裙高腰日系格子裙百褶裙半身裙

山楂树红色格裙夏季新款裙子日系正版学院风百褶裙半身裙女jk制服

山楂树红色格裙夏季新款裙子日系正版学院风百褶裙半身裙女jk制服

浮月jk格裙原创正版制服套装全套夏季短裙女学生百褶裙日系格子裙

山楂树红色格裙夏季新款裙子日系正版学院风百褶裙半身裙女jk制服

jk格裙,貌美又很小清新,裙子的面料我觉得还挺不错的~~森女部落snbl

喵喵jk原创东九日系学院风正版jk制服格裙校供感百褶裙半身裙

格裙裙春半身学院制服jk心脏正版原创温柔jk

随机推荐

发现更多精彩图片

男人过了40岁别剪"幼稚"发型,这六款发型成熟帅气,值得尝试

三井寿头像超清晰图片 灌篮高手三井寿最帅微信头像 - 动漫头像

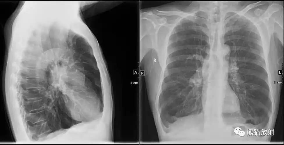
x线诊断要点关于肺气肿的一些概念需要熟悉结合ct

双人走秀 如果心在远方,只需勇敢前行 △真情告白

花城版五下:第3课 认知音乐节奏(五)《蜗牛与黄鹂鸟》课件( 10张ppt)

工作结束清洁后的厨房,地面清洁干净,操作台整洁有序.

《我的前半生》罗子群,出演过两部《琅琊榜》,新剧与张天爱合作

《画江湖之不良人》冥帝 朱友珪(演员:雯小昭)▲《画江湖之不良人》

牵牛花简笔画含上色图片

请准备好601560156015《疯狂动物城2》首批物料将于8月10

【简单黑白—线条的魅力】笔尖时尚 手绘插画 素材 时装周 婚纱手绘