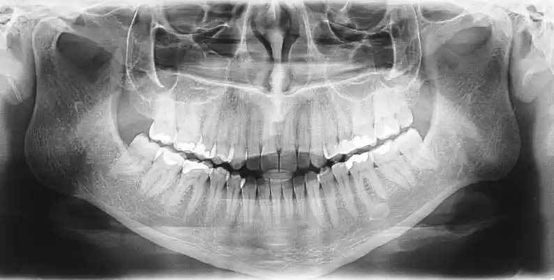
> 今天去拍了全景牙片,医生说这口牙还凑合

高清图片下载 免费 安全无风险
> 今天去拍了全景牙片,医生说这口牙还凑合

> 今天去拍了全景牙片,医生说这口牙还凑合

点击图片查看原图

图片信息

  • 格式: JPG
  • 尺寸: 900x428
  • 大小: 约1.2MB

版权声明

相关标签

自然风光 高清壁纸 4K画质

分享图片

相关推荐

基于当前图片的相似推荐

基于深度学习的全景片恒牙识别的方法和装置与流程

360体验——牙齿诊所 五(4)班李项瀚

全景片上智齿怎么看

种植牙等修复体在口腔全景片上展现的通常是白色的,可以很清

看牙片不求人手把手教你自己看牙片

今年22岁,这是我在医院拍的牙的全景图,还没开始治疗,想问问这个严重

侧位片,根尖片,ct,正位片等,牙齿矫正入门必备的是全景片(曲面断层片)

4折】68元拿下华西口腔专家脱敏洁牙 拍全景片 儿童进口涂氟 检查及出

x光,扫瞄,牙齿,人_高清图片_全景视觉

一恒磨牙26牙,下颌右侧第一恒磨牙46牙:没有发育缺陷,牙齿大面积龋坏

随机推荐

发现更多精彩图片

周星驰情头逃学威龙

休闲,站立,男人,后面

17 治愈系壁纸 | 今日壁纸分享原图,展开全文

邵阳武冈机场是我省投入使用的第七座民用机场.项目总投资概算9.

回顾赌神赵苏茜:横扫美国各大赌场,曾一局赢400万,33岁被焚尸

光明区建筑塔吊指挥证报考条件

求真言宗九字真言披甲护身的一套手印.

帅气男星罗志祥高冷写真电脑壁纸男歌手时尚写真罗志祥暖男阳光男孩

使命召唤手游:生存模式设定看齐和平精英?但这点体验更佳