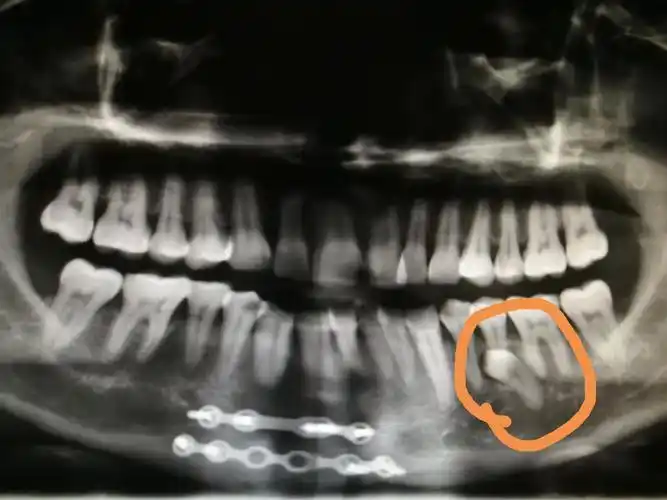
术后ct片,体会:牙齿缺失要及时修复喔!

高清图片下载 免费 安全无风险
术后ct片,体会:牙齿缺失要及时修复喔!

术后ct片,体会:牙齿缺失要及时修复喔!

点击图片查看原图

图片信息

  • 格式: JPG
  • 尺寸: 1080x1440
  • 大小: 约1.2MB

版权声明

相关标签

自然风光 高清壁纸 4K画质

分享图片

相关推荐

基于当前图片的相似推荐

做全景ct时,还能一并照到牙龈结构和骨龄,可谓是一举三得.

去医院拔智牙,拍了口腔全景又要我拍ct. 大家帮我看看需要拍吗?

二:1,拍摄口腔全景片(口腔曲面体层片),覆盖范围广,一张全景片就能

牙科常用的 x 光片主要有三种:小牙片,全景片和口腔cbct .

颞下颌关节紊乱症可以牙齿矫正吗

牙科ct有助于完全埋伏牙拔除术

湖南二手口腔全景机cbct牙科ct芬兰普兰梅卡promax-机电之家网

补牙加做嵌体花了1k8大家牙齿有问题一定早早去看

重新拍了牙科ct之后,医生钻开之前在县城医院补上的材料,牙齿已经严重

多生牙一般通过全景和ct能发现,如果条件合适,建议孩子在六岁左右拍个

随机推荐

发现更多精彩图片

周星驰年轻的时候也太帅了吧

唐艺昕春日写真曝光,甜美笑容与细腻肌肤成焦点

谁能用尺规作图法作出正9边形

努尔哈赤五大臣:费英东,额亦都,安费扬古,扈尔汉,何和里.

貂蝉嘴里叼着巧克力棒让露娜来接于是露娜就把貂蝉给

江铃域虎7限时优惠,全球品质与国际动力助力高品质出行_搜狐汽车_搜狐

转让准新车江铃 凯运2米3宽 厢式货车 国5

而傅程鹏却没有什么戏可拍,整天在家里待业.

来看看帅哥们的侧颜吧

例精图治丨及时准确检测,合理抗her2治疗,助力胃癌晚期患者达更长os