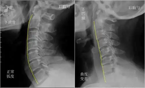
因为人们工作和娱乐等因素,一天大部分时间颈椎曲度实际上是

高清图片下载 免费 安全无风险
因为人们工作和娱乐等因素,一天大部分时间颈椎曲度实际上是

因为人们工作和娱乐等因素,一天大部分时间颈椎曲度实际上是

点击图片查看原图

图片信息

  • 格式: JPG
  • 尺寸: 1749x748
  • 大小: 约1.2MB

版权声明

相关标签

自然风光 高清壁纸 4K画质

分享图片

相关推荐

基于当前图片的相似推荐

颈椎不适?持片看诊很重要!

正在让我们的颈椎"生理曲度"

正常的人体脊椎生理弯曲图

为什么颈椎生理曲度会变直会有什么严重后果吗

恢复颈椎曲度,这3个方法简单有效,彻底告别颈椎酸痛和手麻

颈椎生理曲度变直不用愁,轻松搞定天鹅颈

颈椎及椎间盘前缘高度变小等一系列改变, 最终出现颈椎曲度改变 (变直

颈椎病,可不能随便按摩_颈椎病_日常护理_日常注意事项 - 好大夫在线

注意一下你的颈椎弧度是否正确

颈椎生理曲度变直有什么危害性能够康复嘛

仁爱!颈椎曲度变直是怎么回事?"那么便宜"-第2张图片-宠宝网

随机推荐

发现更多精彩图片

看了央视名嘴周涛年轻时的旧照网友才知何谓清纯女神

我的甜心女孩 马克笔q版漫画人物教程 小馋猫demi 编 绘画(新) wxfx

国漫女神|《暗河传》白鹤淮与卯兔4k高清壁纸:一位

侧滤原理及设计图 - 鱼缸器材 - 龙巅观赏鱼

插画卡卡设计design微信表情包235卡卡设计design03:19:21谢伍峰04:11

21日美发言人被质问凭什么美能禁中国产品中国不能禁美国

和 claire boucher前几天,硅谷钢铁侠马斯克elon musk和女友grimes的

新疆霍城薰衣草购物防坑指南

榜一大哥给赵四刷上百万礼物,就是想让儿子出演《乡村爱情》!