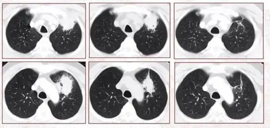
肺结核的影像诊断与鉴别

高清图片下载 免费 安全无风险
肺结核的影像诊断与鉴别

肺结核的影像诊断与鉴别

点击图片查看原图

图片信息

  • 格式: JPG
  • 尺寸: 1280x960
  • 大小: 约1.2MB

版权声明

相关标签

自然风光 高清壁纸 4K画质

分享图片

相关推荐

基于当前图片的相似推荐

正常的肺 结核杆菌破坏的肺

原创江苏扬州大学爆肺结核疫情校方数名患病学生已入院治疗

肺结核临床病案分析呼吸科

"白色瘟疫"肺结核:不要忽略这些信号,守护呼吸健康_腾讯新闻

ppd结果检查#肺结核 #肺结核筛查 - 抖音

健康科普预防结核病你我不能掉队

qims之窗014活动性肺结核的几种不典型ct表现及机制

世界防治结核病日肺结核能防能治全民行动健康呼吸

掌握四点,轻松搞定肺结核病---鉴别诊断

肺结核病人吃什么好

随机推荐

发现更多精彩图片

余景天一定要c位出道加油!_青春有你3_娱乐_综艺片段

腿毛…… #肖战 - 抖音

二次元头像女紫色系 动漫

李亚鹏再当爸王菲无奈接受内幕揭秘

mma-160铁壳小型焊机带数显电焊机便携手提式手弧焊可定制

豆角菜园的牛角虫,难得看见了.

最新牡丹花纹身图案合集牡丹花纹身图案女3