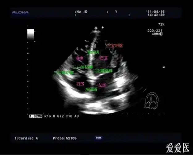
图文详解 | 心超切面不会打?看这一篇就够了!

高清图片下载 免费 安全无风险
图文详解 | 心超切面不会打?看这一篇就够了!

图文详解 | 心超切面不会打?看这一篇就够了!

点击图片查看原图

图片信息

  • 格式: JPG
  • 尺寸: 1051x576
  • 大小: 约1.2MB

版权声明

相关标签

自然风光 高清壁纸 4K画质

分享图片

相关推荐

基于当前图片的相似推荐

4声窗7切面搞定急诊超声心动图:由浅入深学tte|急诊"心"事

零基础学心超一天一图一讲解002之右室流入道长轴切面

心超:各种切面各种图,太直观了!

剑突下双心房切面.la.左心房;ra.右心房;svc.上腔静脉;ivc.

心脏超声常规切面及手法操作

心超:各种切面各种图,太直观了!

冠状动脉疾病的超声诊断

图文详解 | 心超切面不会打?看这一篇就够了!

【零基础学心超,一天一图一讲解001】之胸骨旁左心室长轴切面

心超:各种切面各种图,太直观了!

经典心脏超声切面图及解剖解释

随机推荐

发现更多精彩图片

《宝可梦》在众多的神兽中,对战热门的有很多都有飞行系?

带你参观贾玲住的豪宅,原来是这样子,连灯具都是古罗马风的

拒绝了许晴,徐帆,王志文因何选择了年薪6000万的富婆陈坚红

现代led路灯,隔离,一盏灯,夜晚

同为嫩模出道的文咏珊和杨颖,曾经也是好朋友,时至今日她们俩的咖位谁

性感美背吊带外穿学生韩版内搭打底蕾丝背心女露胸带胸垫上衣内穿

郑爽在民国剧中的形象,演绎的是一名留学归来的大家闺秀,青春可人