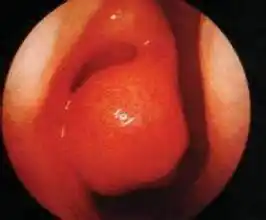
鼻甲肥大手术后鼻子过度通气,鼻腔干燥疼痛,鼻涕倒流加重.

高清图片下载 免费 安全无风险
鼻甲肥大手术后鼻子过度通气,鼻腔干燥疼痛,鼻涕倒流加重.

鼻甲肥大手术后鼻子过度通气,鼻腔干燥疼痛,鼻涕倒流加重.

点击图片查看原图

图片信息

  • 格式: JPG
  • 尺寸: 2223x1280
  • 大小: 约1.2MB

版权声明

相关标签

自然风光 高清壁纸 4K画质

分享图片

相关推荐

基于当前图片的相似推荐

鼻甲肥大身体受个3大伤害用5物泡水喝能缓解

严重鼻甲肥大过敏性鼻炎

鼻甲肥大需不需要进行治疗

严重鼻甲肥大过敏性鼻炎

鼻甲肥大,过敏性鼻炎 上药了四次对比,不会堵塞,打喷涕了 还流点

首大冯文凤治疗鼻甲肥大吃药手术哪个好

鼻甲肥大怎么办?该如何治疗吗?

有一种颜值"破坏大王",叫鼻甲肥大!

鼻甲肥大的诊治要点

随机推荐

发现更多精彩图片

山鸡哥出场,"我叫山鸡,……鸡* 巴的鸡".

32岁离异女征婚照片(id:89430648)_江西南昌征婚交友_珍爱网

美女画家怎么画人物简笔画简笔画大全

博物馆奇妙游266上海博物馆

先婚后爱耽美文忠犬宠受攻x妖孽女王受一眼就爱上了你

11岁女儿夹腿被发现什么是夹腿综合证家长不妨看下

0143梅花图扇面水墨绢本

西蒙尼之子会不会登陆豪门?斯卡洛尼在意队员的出场效率