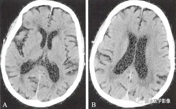
头痛,头晕,耳呜,失眠.做脑ct是脑萎缩

高清图片下载 免费 安全无风险
头痛,头晕,耳呜,失眠.做脑ct是脑萎缩

头痛,头晕,耳呜,失眠.做脑ct是脑萎缩

点击图片查看原图

图片信息

  • 格式: JPG
  • 尺寸: 450x800
  • 大小: 约1.2MB

版权声明

相关标签

自然风光 高清壁纸 4K画质

分享图片

相关推荐

基于当前图片的相似推荐

体检发现头颅ct局限脑萎缩

体检发现头颅ct局限脑萎缩

发现脑萎缩后,应该怎么办?-深圳宏元堂小邱吖

头颅ct平扫显示脑皮层萎缩.

两种常见脑萎缩ct表现

脑萎缩的症状 脑萎缩的临床表现

喝酒喝出脑萎缩,不是危言耸听!

庄xx脑萎缩治疗前后映像对比图 - 山东潍坊吉缘堂抗衰老中医药研究所

脑科医生带您解读:ct/磁共振报告上的"脑萎缩"是不是病

病人女,37岁,间断性头痛史,其他无特殊,既往健康,脑萎缩较明显,需要不

61岁车祸撞击到头部ct显示有脑积水轻微脑萎缩,现在摇头刷牙会头痛没

随机推荐

发现更多精彩图片

p>隶书,汉字的一种字体,有 a target="_blank" href="/item/秦隶

古风女头 | 仙气动漫古风女生头像,太美啦!_生活_太阳_人间

焦俊艳真实在素颜走机场连眉毛都懒画却被网友赞哪像32岁

梦幻冰紫色星空少女动漫图片_女生头像_美头网

至臻点兑换lv限定至臻塞纳

绘画记疫⑦|小朋友画了"大白",长大要去做"大白"

或无文字记录 3,支架搭设完毕未经验收即进入模板搭设工序 4,封顶杆缺

philip b 菲利普b洗发护发全套

哆啦a梦十字绣动漫卡通2023新款十字绣.#热门话题97 # - 抖音

ipad珠宝手绘,蓝宝石的细节步骤操作来了!

每次月经总量正常为60ml左右,大概是约每4小时更换一次卫生巾或棉条的