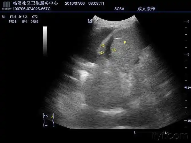
脾破裂——zengerya - 超声医学讨论版 - 爱爱医医学论坛

高清图片下载 免费 安全无风险
脾破裂——zengerya - 超声医学讨论版 - 爱爱医医学论坛

脾破裂——zengerya - 超声医学讨论版 - 爱爱医医学论坛

点击图片查看原图

图片信息

  • 格式: JPG
  • 尺寸: 713x470
  • 大小: 约1.2MB

版权声明

相关标签

自然风光 高清壁纸 4K画质

分享图片

相关推荐

基于当前图片的相似推荐

脾包膜下破裂. - 超声医学讨论版 - 爱爱医医学论坛 - 爱爱医医学网

是包膜下脾破裂吗 - 超声医学讨论版 - 爱爱医医学论坛

脾破裂4小时,无肿大. - 超声医学讨论版 - 爱爱医医学论坛

脾破裂4小时,无肿大. - 超声医学讨论版 - 爱爱医医学论坛

【答案解析】_脾破裂声像图特征:①脾包膜,边缘不规则,连续中断②脾周

1小时前做的脾破裂出血 - 超声医学讨论版 - 爱爱医医学论坛

是包膜下脾破裂吗 - 超声医学讨论版 - 爱爱医医学论坛

脾破裂? - 超声医学讨论版 - 爱爱医医学论坛

迟发性脾破裂(10月4日更正) - 超声医学讨论版 - 爱爱医医学论坛

脾破裂4小时,无肿大. - 超声医学讨论版 - 爱爱医医学论坛

半夜来的脾破裂 - 超声医学讨论版 - 爱爱医医学论坛

随机推荐

发现更多精彩图片

2021年儿童标准身高对照表出炉:你家孩子是高是矮,一看一个准

原创郭富城19岁进tvb月薪七百30岁失去父亲52岁娶妻

4k 8k超高清壁纸分享 - 知乎

文案背景图当人极度伤心时反而会异常平静与乖巧

森林狼耳男:超凡能力觉醒(一)

小学生"即兴诗作"走红,老师笑称天才段子手,家长:棍棒已备好

快去打卡92重庆本地人最爱的小吃美食清单

资料图片:电视剧《青衣》精彩剧照(8)

多功能气压式菜籽油滤油机

深覆合嘴凸下巴后缩露牙龈正畸第859天收缝20