神奇的曲线图形

高清图片下载 免费 安全无风险
神奇的曲线图形

神奇的曲线图形

点击图片查看原图

图片信息

  • 格式: JPG
  • 尺寸: 2667x2000
  • 大小: 约1.2MB

版权声明

相关标签

自然风光 高清壁纸 4K画质

分享图片

相关推荐

基于当前图片的相似推荐

线条形状,曲线波形,抽象几何背景图案.矢量插图图形

设计的几何概念背景线和曲线模式.矢量插图图形

交织抽象的蓝色曲线计算机生成的几何图形三维渲染

数学图形(2.14)spherical helix曲线

绿色曲线几何图形元素

数学图形(1.50)三曲线

设计的几何概念背景线和曲线模式矢量插图图形

交错的彩色曲线计算机生成的几何图形三维渲染

随机推荐

发现更多精彩图片

表2 中国7-18岁儿童营养状况的bmi标准

52岁王祖贤无滤镜近照曝光 皮肤紧致冻龄惹人羡

唯美的风景背影大图 爱情至上却随风飘走

原创潘虹10岁丧父32岁离婚一口气拿下12个影后68岁孑然一身

爱新觉罗·韫颖 简历 - 名人简历 - 清朝 格格 韫颖

《整理礼仪》之《叠被子》,其实叠被子也有很多步骤哦,我们一起来看

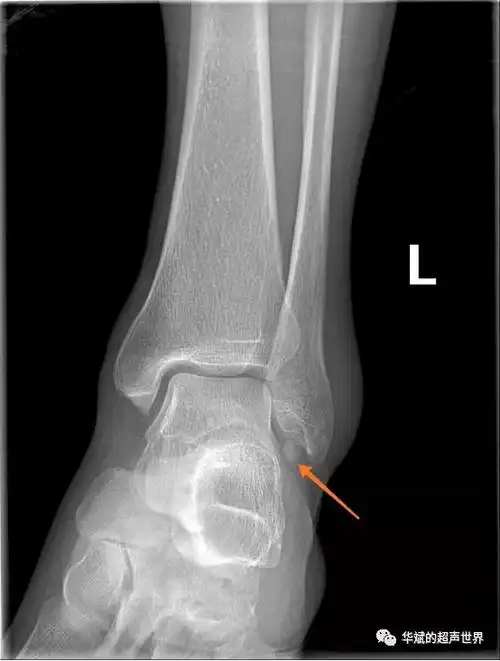
外踝处腓骨内下方箭头所示的的类圆形高密度影,边缘高密度缘完整,腓骨

大众volkswagen原厂全合成高端0w20机油vw50800认证国6视频

安全帽 - 热门商品专区