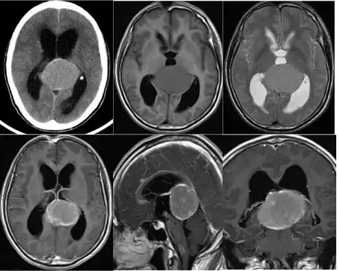
76岁脑瘤,请各位专业人士看一下磁共振图片,看看这个情况,分析一下.

高清图片下载 免费 安全无风险
76岁脑瘤,请各位专业人士看一下磁共振图片,看看这个情况,分析一下.

76岁脑瘤,请各位专业人士看一下磁共振图片,看看这个情况,分析一下.

点击图片查看原图

图片信息

  • 格式: JPG
  • 尺寸: 3264x1840
  • 大小: 约1.2MB

版权声明

相关标签

自然风光 高清壁纸 4K画质

分享图片

相关推荐

基于当前图片的相似推荐

一个月前出现头晕,视力下降,视物模糊,去当地医院就诊,头颅磁共振示

没见过的颅脑磁共振求助诊断急急急

脑磁共振成像(mri),脑瘤

脑磁共振成像(mri),脑瘤

术前核磁共振示左颞长t1,长t2信号占位,强化后边缘呈不规则环形强化.

【病例讨论】血运丰富脑膜瘤 [病例帖]

随机推荐

发现更多精彩图片

泰瑞格黑色系魏晋汉服男套装古风男士仙气古装男生大码学生5655上衣

【孙耀威古装群像】倾城一笑||刘病已不为人知的一面_哔哩哔哩_bili

2022帅气又很成熟的男生魅力头像大全

棒针扇形叶子花披肩

58式喷火器:让印军心慌慌的焰火

男人富贵鼻子面相算命图解

位置与形态:肱骨后面,有长头,外侧头和内侧头三个头,故属三头肌.

黄金古法麒麟吊坠项链貔貅转运珠招财进宝实心工艺足金999男女