给你纸巾

高清图片下载 免费 安全无风险
给你纸巾

给你纸巾

点击图片查看原图

图片信息

  • 格式: JPG
  • 尺寸: 240x240
  • 大小: 约1.2MB

版权声明

相关标签

自然风光 高清壁纸 4K画质

分享图片

相关推荐

基于当前图片的相似推荐

(好人证书)表情包 - 日常表情包

为什么摄影大赛没有人体照

给你纸巾擦擦表情包_微信头像图片大全

牛轰轰给你纸卫生纸发光gif动图_动态图_表情包下载_soogif

(滑稽)表情包 - 表情图

格瓦拉表情包 - 格瓦拉微信表情包 - 格瓦拉qq表情包 - diy斗图 diydo

给你纸巾擦擦表情包_微信头像图片大全

幽默动画:卫生纸的喜怒哀乐,这表情太到位了!

哈哈我的一点恶趣味#可爱 #一二和布布 #表情包 #小情侣的日常

给你纸巾擦擦表情包_微信头像图片大全

柴犬将卫生纸扯烂,妈妈气炸…狗狗一脸无辜,表情超有戏_小家伙_那唯一

随机推荐

发现更多精彩图片

精选古风文字创意唯美桌面壁纸图片下载

gigsgigscloud日本cn2独服月付99美元

看 鲜艳的国旗正在冉冉升起

给你我的小心心~_光遇sky光遇q版日系平涂同人头像绘画作品

气质裤子上衣搭配 灰色上衣搭配-ship188.com

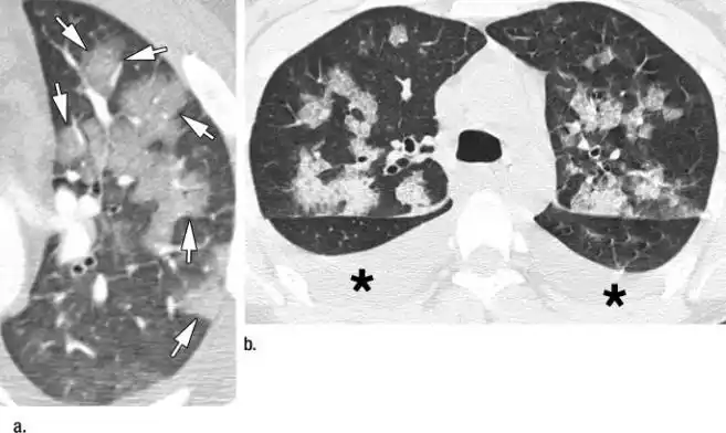
全小叶密度增高-磨玻璃影:(a)hrct 显示小叶性肺炎(支气管肺炎),左肺

白酒金六福50度福运天鸿浓香香型500ml2瓶婚宴白酒

cococola洗尘电影东北老炮儿主题曲

高丹草高丹草什么时候种植最好

众所周知,宝宝母乳喂养好,那么喂奶对妈妈有哪些好处?

新款马卡龙i12蓝牙耳机5.0触摸充电运动便携i7耳机降噪超长续航

孩子,我为什么要逼你拼命读书?这封妈妈的信刷爆朋友圈!