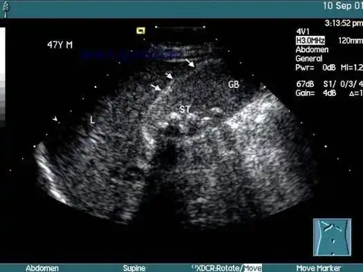
2022年2月14日,他再次返院复查,b超检查显示"保胆术后9年余,胆囊内

高清图片下载 免费 安全无风险
2022年2月14日,他再次返院复查,b超检查显示"保胆术后9年余,胆囊内

2022年2月14日,他再次返院复查,b超检查显示"保胆术后9年余,胆囊内

点击图片查看原图

图片信息

  • 格式: JPG
  • 尺寸: 910x1179
  • 大小: 约1.2MB

版权声明

相关标签

自然风光 高清壁纸 4K画质

分享图片

相关推荐

基于当前图片的相似推荐

立竿见影精准排雷高危老年胆囊炎患者救治介入超声解难题

立竿见影精准排雷高危老年胆囊炎患者救治介入超声解难题

经典图片:蜂巢样胆囊_症状

最后不得不做切除胆囊手术确诊胆结石加胆囊炎后面去做了检查经常疼到

p data-id="gn585yxnzd">小儿胆道感染中急性胆囊炎与胆管炎(acute

全腹部ct检查(图1)①胆囊多发结石伴胆囊炎;胆囊底部见气液平面,胆囊

女子常年不吃早餐患上胆囊结石医生提醒这个生活习惯得改

target="_blank" href="/item/胆囊炎/706752" data-lemmaid="706752"

罕见!女子胆管内长出巨型结石:重量超半斤,比胆管粗了10倍

随机推荐

发现更多精彩图片

今日分享97高清蓝色科技感ppt背景图 哈喽~我是图图大耳朵09 要做

【图片4】快乐周末,初试适马135 1.8art--蜂鸟论坛照片套图

储物抽屉柜 塑料多层储物柜相似店铺>进入本店铺>厂房面积:加工方式

王维高中状元真的是靠走岐王和玉真公主后门吗

鬼,矢量,在白色背景上的卡通鬼

川派古琴《忆故人》(曾成伟传谱)_简谱

公孙离祈雪灵祝丨吕布御风骁将

匠心·产品拍摄(30张拍摄套餐)

雕刻机 - 设备类 - 青岛全贸通国际贸易有限公司

锌钛合金大门别墅大门双开门对开门农村进户大门中式大门家用 防盗门