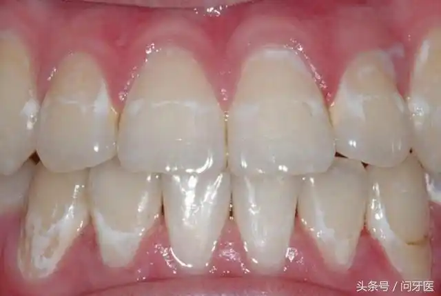
渗透树脂用于治疗正畸引起的白垩斑-医联

高清图片下载 免费 安全无风险
渗透树脂用于治疗正畸引起的白垩斑-医联

渗透树脂用于治疗正畸引起的白垩斑-医联

点击图片查看原图

图片信息

  • 格式: JPG
  • 尺寸: 680x453
  • 大小: 约1.2MB

版权声明

相关标签

自然风光 高清壁纸 4K画质

分享图片

相关推荐

基于当前图片的相似推荐

icon牙釉质白垩斑树脂渗透疗法学习班--泉州站-在线订票-互动吧

牙齿光滑面白垩斑样病损的树脂渗透治疗一

白垩型:牙齿表面有白垩色条纹或不规则散布的小面积不透明区着色,但

请问牙齿上有白斑是什么情况呢

牙齿上的小白点,甚至大块白斑是什么?

牙齿常见上的白点就是脱矿的白斑图片来源:站酷海洛

牙齿光滑面白垩斑样病损的树脂渗透治疗

牙齿上白垩色到褐色的斑块

有一些接受正畸固定矫治的患者其牙面上会呈现白垩色的点或斑块,临床

这个要把牙上的白斑去掉,在把牙矫正一共要花多少钱,还要变白点

随机推荐

发现更多精彩图片

谢霆锋20年都留同一个发型,这是老土还是帅气呢?[大哈]

西服套装男士修身商务休闲正装职业装酒店工作服面试西装套装男

大家点了一大桌菜来靠赏靠赏自己在2019年工作学习和生活中的负出.

人美版二年级美术《纸盒变家具》预学建议

文档下载 所有分类 人文社科 文学研究 > 香谱观世音四十八香谱图 则

萨克斯乐曲100首之二

秋季儿童芭蕾舞裙女童舞蹈练功服幼儿舞蹈服装长袖领花 梨花白 110cm

【多图】泰禾华侨城1期,龙田租房,泰禾华侨城1期 3室2厅2卫,福清租房

2023欧美wish新款女士性感豹纹印花双面分体比基尼泳衣女泳衣

烟酒店 烟酒展柜,烟柜台,木质展柜制作设计.