【超声笔记】no.4?常见胎儿畸形的超声诊断及预后-健康频道-手机搜狐

高清图片下载 免费 安全无风险
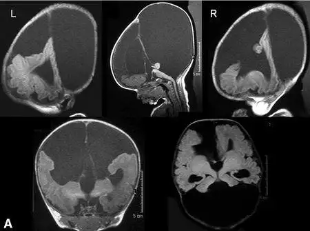
【超声笔记】no.4?常见胎儿畸形的超声诊断及预后-健康频道-手机搜狐

【超声笔记】no.4?常见胎儿畸形的超声诊断及预后-健康频道-手机搜狐

点击图片查看原图

图片信息

  • 格式: JPG
  • 尺寸: 371x411
  • 大小: 约1.2MB

版权声明

相关标签

自然风光 高清壁纸 4K画质

分享图片

相关推荐

基于当前图片的相似推荐

全前脑合并面部畸形,三维图像 - 超声医学讨论版 - 爱爱医医学论坛

发个典型全前脑的图像. - 超声医学讨论版 - 爱爱医医学论坛

9个月大男婴患怪病,头围达63.5cm如同一个足球

全前脑(一)一一严英榴 - 美篇

"脑子进水"真的会让人变傻吗?-春雨医生

全前脑一例 - 超声医学讨论版 - 爱爱医医学论坛

欢迎进入华西期刊社

@孕妈,检查胎儿先天缺陷,唐筛 四维必须做!_畸形

全前脑合并面部畸形,三维图像 - 超声医学讨论版 - 爱爱医医学论坛

【共享】鸟面综合症 - 超声医学讨论版 -丁香园论坛

中央变异型前脑无裂畸形鉴别诊断_医学界-助力医生临床决策和职业成长

实战——叶状全前脑和中线变异型全前脑鉴别_case

随机推荐

发现更多精彩图片

刘恺威最新西装写真 黑白碰撞绅士的品格

文咏珊于去年10月12日在意大利科莫湖湖畔古堡villa erba进行婚礼.

可爱小男孩头像图片2022最火爆

唯美 国风 古风 戏曲 美女 高清 壁纸

这么可爱的frisk确定不抱走吗

正能量ps给王者露娜新皮肤减 布料以后

天官赐福 花城 _ 头像|男生|高冷-古风-温暖[图片专辑] _ 图片网

主卧其实一开始在多乐士脏粉和白骆驼,奶咖里纠结,最后选了白骆驼