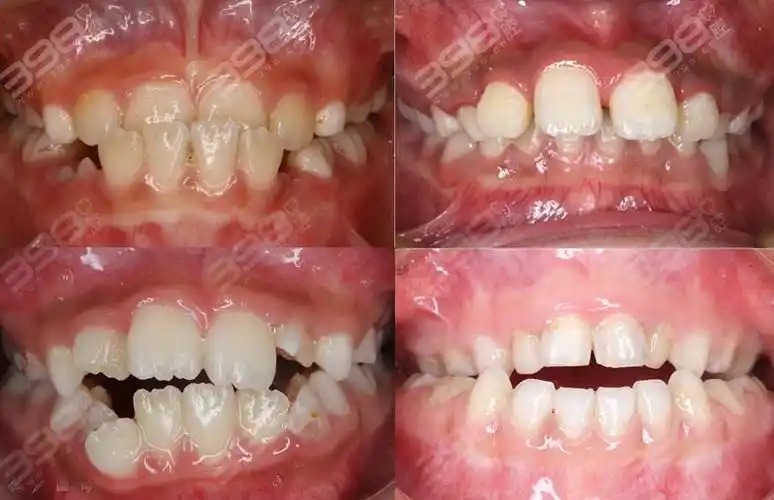
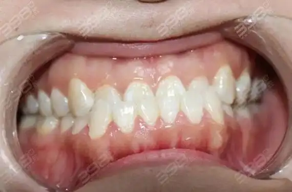
昆明小孩牙齿矫正多少钱群里宝妈说很贵大概要10000元

高清图片下载 免费 安全无风险
昆明小孩牙齿矫正多少钱群里宝妈说很贵大概要10000元

昆明小孩牙齿矫正多少钱群里宝妈说很贵大概要10000元

点击图片查看原图

图片信息

  • 格式: JPG
  • 尺寸: 455x347
  • 大小: 约1.2MB

版权声明

相关标签

自然风光 高清壁纸 4K画质

分享图片

相关推荐

基于当前图片的相似推荐

孩子牙齿出现这些畸形要注意

地包天怎么算严重 地包天严重程度分几种

这一例没有拔牙的病例治疗前牙齿前突,方形牙弓以及牙齿重度拥挤治疗

牙齿矫正是否有最佳时间?_牙颌畸形_牙颌畸形治疗方式 - 好大夫在线

牙齿矫正大概要花费多少钱?这是你最想知道的事!|口腔|畸形_网易订阅

六大常见畸形牙及案例分享

深圳牙齿拥挤的影响有哪些

12岁之前必须处理的牙颌畸形要是早知道就好了

地包天在医学上称"反颌",是一种牙齿畸形: 下齿包住上齿.

牙齿不齐_牙颌畸形 - 好大夫在线

淀山湖牙齿矫正要多长时间呢

随机推荐

发现更多精彩图片

男生春夏适合剪寸头发型痞帅痞帅的

>网易号>正文申请入驻>在金晨的演艺生涯中,她曾与多位知名演员合作

二十四节气立春清新唯美主题图,节日合集-回车桌面

飞机头发型图片男短发超短(2023最帅气男发来了,时尚有型真精神,喜欢

有感而发 情侣吃饭到底应该坐对面还是坐旁边

623海报印制海报展板素材30中国传统文化礼貌待人宣传

风景头像大全花草 风景头像图片大全 -【爱个性】

龙头像男生动漫带字 动漫头像图片大全 -【爱个性】

智能电子秤超市专用条码秤商用电子秤市收银打印标签称重打码一体机

儿童手工折纸diy拼装立体3d纸质模型 双层巴士 公交车 汽车制作

罗马音平假名中文可复制_日语零基础入门五十音,日语零基础五十音图表