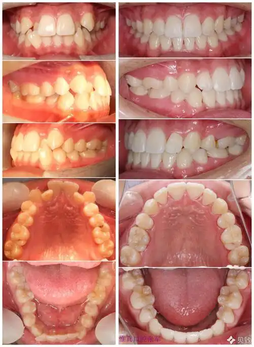
小朋友必须等到换完牙了才能矫正吗?|畸形|正畸|换牙|乳牙_网易订阅

高清图片下载 免费 安全无风险
小朋友必须等到换完牙了才能矫正吗?|畸形|正畸|换牙|乳牙_网易订阅

小朋友必须等到换完牙了才能矫正吗?|畸形|正畸|换牙|乳牙_网易订阅

点击图片查看原图

图片信息

  • 格式: JPG
  • 尺寸: 650x375
  • 大小: 约1.2MB

版权声明

相关标签

自然风光 高清壁纸 4K画质

分享图片

相关推荐

基于当前图片的相似推荐

反牙合 偏牙合 侧切牙畸形过小正畸后铸瓷冠修复-南昌矫正牙医潘超的

反牙合 偏牙合 侧切牙畸形过小正畸后铸瓷冠修复-南昌矫正牙医潘超的

一例腭侧错位侧切牙的正畸治疗

先天缺失两个侧切牙矫正思路

【前牙对刃 侧切牙反颌矫正案例】

牙齿不齐拥挤侧切牙反颌矫治案例

一例腭侧错位侧切牙的正畸治疗

【前牙对刃,侧切牙反颌矫正案例】 - 好大夫在线

反牙合 偏牙合 侧切牙畸形过小正畸后铸瓷冠修复-南昌矫正牙医潘超的

先天缺失两个侧切牙矫正思路

反牙合 偏牙合 侧切牙畸形过小正畸后铸瓷冠修复-南昌矫正牙医潘超的

86期缺一颗侧切牙中线不齐前突拔牙矫

随机推荐

发现更多精彩图片

盘点80年代最经典十部tvb剧集!

马嘉祺穿女装还挺好看

26个英文字母卡通画.#原创绘画 #动手动脑 #小学生作业 - 抖音

肩关节x线检查体位大全

中央军委:武警消防部队退役!这个17岁牺牲的消防兵,还记得吗?

100% 纯 pva 医用止血剂纱布卷绷带防粘可生物降解无菌或非无菌片弹性

你不知道的长江之长江西源沱沱河

御模道机动奥特曼赛罗装甲终极版.身高310mm 带终极版替换 - 抖音

这个冬天用手机拍冬季照片这6个技巧要用好