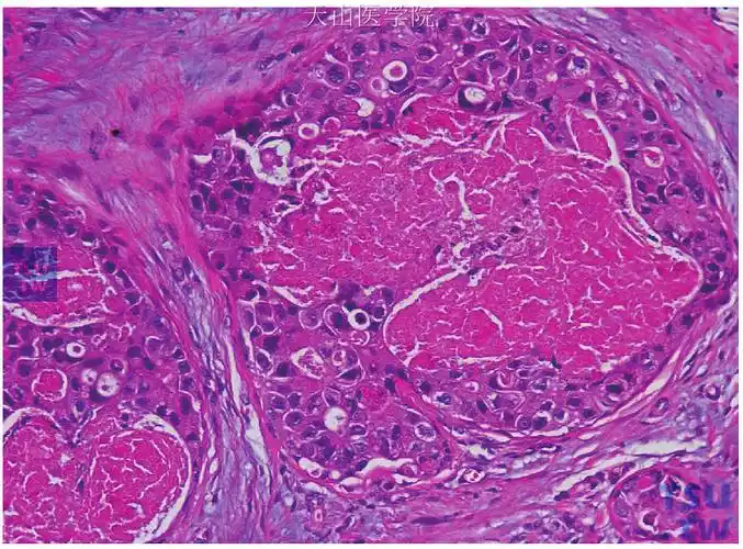
关于原位癌放疗的问题之前有问到这里专门讲一讲乳腺原位癌有分两种

高清图片下载 免费 安全无风险
关于原位癌放疗的问题之前有问到这里专门讲一讲乳腺原位癌有分两种

关于原位癌放疗的问题之前有问到这里专门讲一讲乳腺原位癌有分两种

点击图片查看原图

图片信息

  • 格式: JPG
  • 尺寸: 1080x688
  • 大小: 约1.2MB

版权声明

相关标签

自然风光 高清壁纸 4K画质

分享图片

相关推荐

基于当前图片的相似推荐

导管原位癌(dcis)常识

特别奉送系列之182什么是乳腺导管原位癌

乳腺原位癌,算不算癌症?

导管原位癌,行乳腺单纯切除 前哨淋巴结切除活检术

乳腺导管原位癌是未扩散的癌那乳腺癌是如何扩散的

乳腺导管内原位癌讨论2017.08.21【91360乳腺病理沙龙病例讨论59】

什么是乳腺原位癌和浸润癌

乳腺导管原位癌病理图片

乳腺导管原位癌伴局灶微小浸润一例

乳腺导管原位癌,淋巴结转移2017.4.7【中美加乳腺病理交流群病例61】

随机推荐

发现更多精彩图片

雄塑pvc双壁波纹管dn2504knm05厂里直发

柯蓝:没成婚但有固定伴侣,黄志忠陪了我10年,单身压根不是问题

电动机正反转实物接线图.pdf

华为荣耀3x,华为荣耀3x手机怎么样

水溶c100 西柚汁饮料445ml/瓶

明史专栏(一),龙生九子九子不同,朱元璋的那些儿子

巷口姜糖膏包装设计

汽车装饰 车身装饰件 车太太(chetaitai) 适用于 本田十代思域内饰

古筝曲谱分享烟花易冷

儿童故事画 小龙虾与大螃蟹

鲜花,花朵,植物,花卉,壁纸鲜艳的花朵