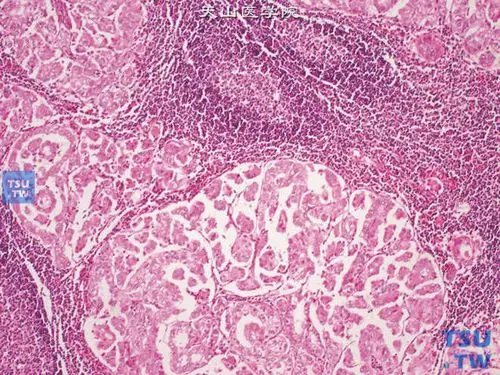
高分化鳞癌?

高清图片下载 免费 安全无风险
高分化鳞癌?

高分化鳞癌?

点击图片查看原图

图片信息

  • 格式: JPG
  • 尺寸: 800x600
  • 大小: 约1.2MB

版权声明

相关标签

自然风光 高清壁纸 4K画质

分享图片

相关推荐

基于当前图片的相似推荐

备注:间变性淋巴瘤激酶(alk)阳性的局部晚期或转移性非小细胞肺癌患者

鸦胆子油的功效与作用鸦胆子油软胶囊是一种抗癌的药,消化道肿瘤,肝癌

高分化鳞癌的标志-细胞间桥

仅见宫颈组织呈局灶低级别鳞状上皮内病变(he,×100)图2 鳞癌细胞中

病理实验报告鳞状细胞癌绘图

食管癌组织学分类特别是早期鳞状细胞癌

可见角化.细胞异型明显,可见核分裂象 上图:尿道鳞癌.

是来源于支气管上皮的一种恶性上皮性肿瘤,可表现角化和/或细胞间桥

子宫鳞状细胞癌光镜

【图】鳞状细胞癌详细图解(唾液腺恶性肿瘤的临床病理)

随机推荐

发现更多精彩图片

《火影忍者》自截头像 禁二传

景甜粉钻裙造型惊艳亮相,她的气质真好!_魅力_时尚_粉色

askvey的相册-三国杀武将原画 皮肤——吴

祝老公生日快乐的祝福语祝福语.doc

拖鞋女时尚外2021夏季新款韩版凉平底沙滩平跟一字拖

哭唧唧的桑稚 #动漫头像##偷偷藏不住##动漫女头# 67

绿叶手绘风格矢量藤蔓

天穹骑士.简简单单画子 - 抖音

伤感文字手机壁纸图片大全2022 上当不是别人太狡猾而是自己太贪-带字

七彩虹geforce gtx1050ti 灵动鲨-4gd5 v10 for win7/8 32bit