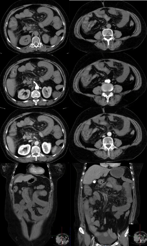
房颤患者的噩梦之不一样的急性腹痛肠系膜上动脉栓塞

高清图片下载 免费 安全无风险
房颤患者的噩梦之不一样的急性腹痛肠系膜上动脉栓塞

房颤患者的噩梦之不一样的急性腹痛肠系膜上动脉栓塞

点击图片查看原图

图片信息

  • 格式: JPG
  • 尺寸: 419x629
  • 大小: 约1.2MB

版权声明

相关标签

自然风光 高清壁纸 4K画质

分享图片

相关推荐

基于当前图片的相似推荐

微创治疗急性肠系膜上动脉栓塞 - 好大夫在线

两个病例带你认识急性肠系膜血管栓塞

区医疗集团南浔院区成功开展经皮肠系膜下动脉栓塞术_血管

急性腹痛病因之肠系膜上动脉栓塞

急性肠系膜上动脉取栓病例分享

我院ct室诊断首例 高漏诊危急重症病例~~~~肠系膜动脉栓塞

病例讨论留置iabp的肠系膜上动脉栓塞患者的麻醉管理

随机推荐

发现更多精彩图片

干净男头高清大图正脸-男生头像 - 壁纸之家

1945年,云南昆明,黄埔军校第五分校的课堂上,年轻的军官学员一边认真

什么是破坏军婚罪军人有外遇算作破坏军婚吗

真的爱你鼓谱 - beyond - 架子鼓谱

多一个土猪前脚,猪皮很厚,胶原蛋白丰富.红烧赞

清王炳荣雕瓷花鸟石纹观音瓶

抖音网红大爷头像_微信头像图片大全

互动视频斗鱼王羽杉水蛇腰妩媚妖娆高能

中华人民共和国外国人居留许可