夏天黄尾鲴鱼这么钓才能提高正口中鱼率

高清图片下载 免费 安全无风险
夏天黄尾鲴鱼这么钓才能提高正口中鱼率

夏天黄尾鲴鱼这么钓才能提高正口中鱼率

点击图片查看原图

图片信息

  • 格式: JPG
  • 尺寸: 403x456
  • 大小: 约1.2MB

版权声明

相关标签

自然风光 高清壁纸 4K画质

分享图片

相关推荐

基于当前图片的相似推荐

岳阳平江求黄尾位置

钓黄尾鲴最佳饵料及配方

主题原创杭州钱塘江沉砂池获黄尾鲴鲴鱼

大帆吊 海水观赏鱼活体吊类开口食藻海缸除藻黄金吊蓝吊快递发货 券

原创水库钓黄尾鱼的五个技巧连竿大黄尾爽翻天

下图为 德氏高鳍刺尾鲷 zebrasoma desjardinii ,俗称 帆

黄尾鯝鱼苗活体黄片鱼黄尾鱼翘壳路亚翘嘴黄姑子淡水养殖冷水鱼苗

夏季钓黄尾鲴鱼,多注意这几点,才能提高正口中鱼率!

黄尾副刺尾鱼知识免费科普,看一看你了解多少?

随机推荐

发现更多精彩图片

今年要剪就剪这种"韩式短发",利落干净又显脸小

刘亦菲《玫瑰故事》路透

牛骏峰高清帅气美图牛骏峰图片

华为手机哪款性价比高3000元的预算可以选择哪一款手机

芬兰这地方推800米高空桑拿浴:20分钟11000元

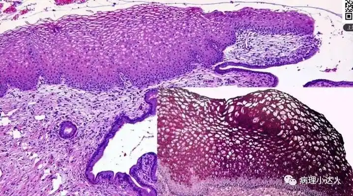
【学习笔记】低级别鳞状上皮内病变的诊断与鉴别诊断

可爱的老奶奶画像,老奶奶高兴极了

这种遗传型上本身的差异,加上有目的的品种选育的结果, 使香蕉类作物

衣长宽松型:服装版型短袖:袖长常规:厚薄m l xl 2xl 3xl:尺码白蓝条

九四式山炮,侵华刽子手的工具,历史的见证者!

元朱文近代第一谁见幽人独往来陈巨来篆刻艺术世界