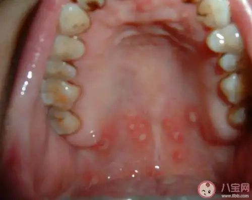
宝宝口腔溃疡可以喝酸奶苹果吗

高清图片下载 免费 安全无风险
宝宝口腔溃疡可以喝酸奶苹果吗

宝宝口腔溃疡可以喝酸奶苹果吗

点击图片查看原图

图片信息

  • 格式: JPG
  • 尺寸: 390x526
  • 大小: 约1.2MB

版权声明

相关标签

自然风光 高清壁纸 4K画质

分享图片

相关推荐

基于当前图片的相似推荐

引起口腔溃疡的原因有哪些口腔溃疡怎么好得快

巨大型口腔溃疡求教

【科普】口腔健康科普宣传知识问答——(十一)关于口腔溃疡的常见问题

重庆口腔溃疡好的3家医院公布不排队技术好价格亲民

老是起口腔溃疡是怎么回事

口腔溃疡,疼痛难忍,怎么治疗,速效最好!急急急!

婴儿鹅口疮和口腔溃疡别分不清两者症状图片轻松分辨

口腔溃疡总不好?教你3个快速恢复的小妙招,终身都受用!

复发性口腔溃疡有办法根治吗多久没愈合要看医生

随机推荐

发现更多精彩图片

易烊千玺各式笑容合集 每一款都撩人心弦

现货直发圣节恐怖面具鬼屋密室逃脱骷髅女鬼丧尸僵尸恶心吓人鬼脸头套

今日分享马克笔线面,向日葵97用到了针管笔,马克笔#儿童画 #马克笔

白色治愈系女生头像图片

其他情趣用品-新品成人玩具花边八件套捆绑调情 广州成人情趣粉色8

松下yd-350gr焊机使用说明书:[3]

铃木维特拉有什么随车附件(铃木天语sx4改床车)【汽车时代网】

25 useful phrases and vocabulary in scottish gaelic

咸阳乐华城88摄氏度温泉乐园.夏天来了,乐华城88摄氏度温泉 - 抖音