中肠一扭转,后果很严重!

高清图片下载 免费 安全无风险
中肠一扭转,后果很严重!

中肠一扭转,后果很严重!

点击图片查看原图

图片信息

  • 格式: JPG
  • 尺寸: 630x500
  • 大小: 约1.2MB

版权声明

相关标签

自然风光 高清壁纸 4K画质

分享图片

相关推荐

基于当前图片的相似推荐

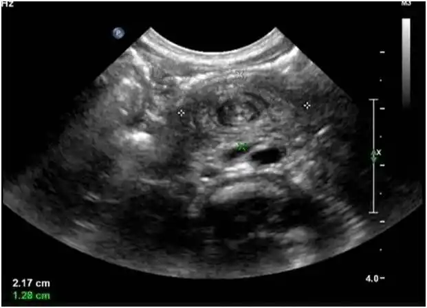
「漩涡征」:超声诊断小肠扭转的线索

「漩涡征」:超声诊断小肠扭转的线索

「漩涡征」:超声诊断小肠扭转的线索

「漩涡征」:超声诊断小肠扭转的线索

「漩涡征」:超声诊断小肠扭转的线索

水晶成像在胎儿肠扭转及肠套叠的产前超声诊断及漏诊分析中的应用

cdfi示包块内可见环形动静脉血流信号鉴别诊断肠旋转不良并肠扭转时需

超声诊断先天性肠旋转不良

bmj:中肠扭转-案例报道

确诊乙状结肠扭转一例

随机推荐

发现更多精彩图片

可爱女生真人头像图片高清头像小清新可爱小女孩真人图片小众可爱头像

在漫画中,那个男人角色的腹肌最棒啊!

qq头像男生动漫可爱好看的可爱动漫男生头像高清图片精选

他创下多个第一32岁正厅46岁当省长如今56岁依旧在为国贡献

2件送1件手绳材料包diy手工编织三生三世十里桃花手链材料包包邮

77 mb 格式: psd(cs5) 编号: 20121124030239083339 类型: vip素材

1月14 粉色hello kitty锁屏壁纸原图更新 自取不谢!

在古代,皇帝家的年夜饭都能吃点什么?

圣保罗教堂 立体卡纸 纸雕 贺卡 图纸 a4