科学家经过一个多世纪的探索后发现……|睾丸|脑区|海马体_网易订阅

高清图片下载 免费 安全无风险
科学家经过一个多世纪的探索后发现……|睾丸|脑区|海马体_网易订阅

科学家经过一个多世纪的探索后发现……|睾丸|脑区|海马体_网易订阅

点击图片查看原图

图片信息

  • 格式: JPG
  • 尺寸: 650x503
  • 大小: 约1.2MB

版权声明

相关标签

自然风光 高清壁纸 4K画质

分享图片

相关推荐

基于当前图片的相似推荐

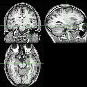
海马体在人脑中的位置

容易被骗?可能是大脑里有个区域受损了

海马体在大脑中的位置由于杏仁核在大脑皮层的旁边,紧靠着储存记忆的

科学家通过对海马体的解剖发现,它在大脑中的长度不到10cm,之所以一

海马到底在哪里?长什么样子?

大脑海马区的功能恢复大脑海马体神经修复最佳方法2022已更新今日图集

脑博士右脑开发训练是如何利用海马体来高效全脑开发?

随机推荐

发现更多精彩图片

头像男真人 真人照片正脸帅气的男生头像

谁能发几张哆啦a梦的照片,越多越好

国际和平日概念.矢量插图.有树枝的白鸽和安宁的标志

(美丽中国)甘肃天水出现"麦积烟雨"景观_麦积山石窟_新华社_无人机

小升初数学热门考点求阴影部分的面积看老师的好方法

中,唯美好看的黄色小花一起静悄悄的盛开了,为春天增添了一份唯美气息

农村房子坐西面东的山坡上,东西南三面是山,南面山高,北面有河,过河有

清明赏花–西安牡丹苑

海面上飞翔的白鸽图片