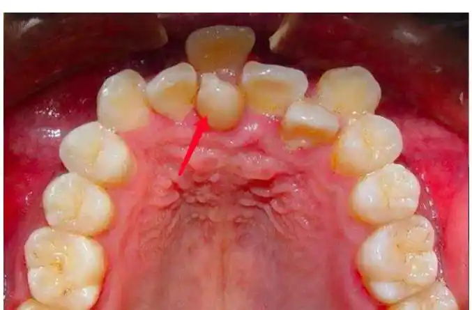
郑州牙齿|小朋友多生牙的出现

高清图片下载 免费 安全无风险
郑州牙齿|小朋友多生牙的出现

郑州牙齿|小朋友多生牙的出现

点击图片查看原图

图片信息

  • 格式: JPG
  • 尺寸: 599x351
  • 大小: 约1.2MB

版权声明

相关标签

自然风光 高清壁纸 4K画质

分享图片

相关推荐

基于当前图片的相似推荐

多生牙(上颚两中门牙间)supernumenary tooth (mesiodens)

上门牙多生牙图片(上门牙多生牙图片是怎样) | 苏普空间

小孩多生牙要怎么办

多生牙_介绍_治疗方式 - 好大夫在线

门牙多生牙做正雅隐形矫正没想到在深圳正恩口腔12个月就矫正成功了

多生牙长出的位置不好应该要拔除吗

门牙多生牙做正雅隐形矫正没想到在深圳正恩口腔12个月就矫正成功了

多生牙一般通过全景和ct能发现,如果条件合适,建议孩子在六岁左右拍个

成人上下颌双侧前磨牙区7颗多生牙病例分析

随机推荐

发现更多精彩图片

midjournyai生成夕阳暖色车载壁纸 适合横屏桌面壁纸 提示词a blue

木棉花是广州市的市花,其树形高大魁梧,株型壮硕舒展,花期每年2-3月份

生化危机浣熊市行动介绍

蒜薹木耳炒肉盖浇饭

又甜又好笑,《你好,对方辩友2》北方有鱼cp开启地下恋模式

戴眼镜蓝色外套棕色头发胡子波普

不锈钢水池水槽台面一体柜单双池沥水台洗菜洗手洗碗池工作台商用

14毫米不锈钢黄金古巴链条男士嘻哈珠宝古巴链接链项链

zoma原创火烈鸟女款生日蛋糕