卫星手抄报~探索卫星世界 卫星,是围绕行星运行的天体.

高清图片下载 免费 安全无风险
卫星手抄报~探索卫星世界 卫星,是围绕行星运行的天体.

卫星手抄报~探索卫星世界 卫星,是围绕行星运行的天体.

点击图片查看原图

图片信息

  • 格式: JPG
  • 尺寸: 720x960
  • 大小: 约1.2MB

版权声明

相关标签

自然风光 高清壁纸 4K画质

分享图片

相关推荐

基于当前图片的相似推荐

小学生北斗卫星手抄报怎么画北斗卫星手抄报内容写什么

北斗卫星手抄报~北斗卫星导航

小学生北斗卫星手抄报怎么画北斗卫星手抄报内容写什么

卫星手抄报~探索卫星世界 卫星,是围绕行星运行的天体.

小学生北斗卫星科普手抄报怎么画北斗卫星科普小报模板教程

儿童画卫星步骤图解 来学卫星简笔画

北斗卫星手抄报内容怎么写

卫星手抄报内容怎么写小学生北斗导航手抄报模板教程以北斗导航系统为

手帐 #简笔画教程 #航天 #人造卫星 #知识薯

卫星简笔画怎么涂颜色

人造通信卫星简笔画怎么画简单好看

北斗卫星手抄报内容怎么写

随机推荐

发现更多精彩图片

佟丽娅的婚姻经历详解(挖掘佟丽娅异域情感和她的婚姻历程)-探秘猎奇

高圆圆赵又廷婚礼现场曝光 甜蜜热吻深情对视

《新天龙八部》门派电脑桌面壁纸图赏 - 游戏壁纸 - app178手游网图库

特价ysl圣罗兰镜面唇釉 杨树林润唇彩 12号斩男色 胭脂红 雾面11

守候- 清风明月hp - 5sing中国原创音乐基地

《最终幻想14》将与《怪物猎人:世界》联动,今年夏季推出.

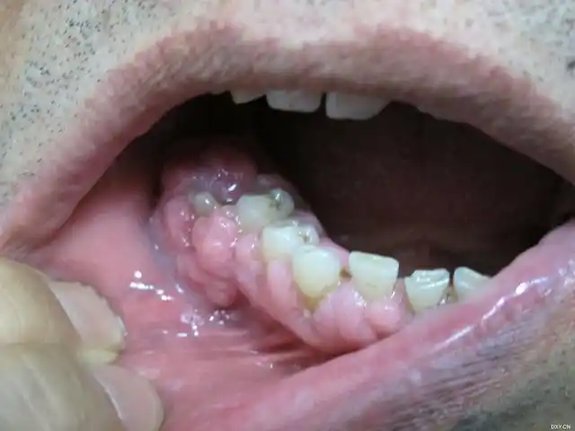
【求助】牙龈增生图片,治疗,请大家支招

第五人格·遗照组第一期cp组合

正确测量胸围的方法.

冯越魏大勋民国热血谍战

云烟(黑金刚印象非卖品)