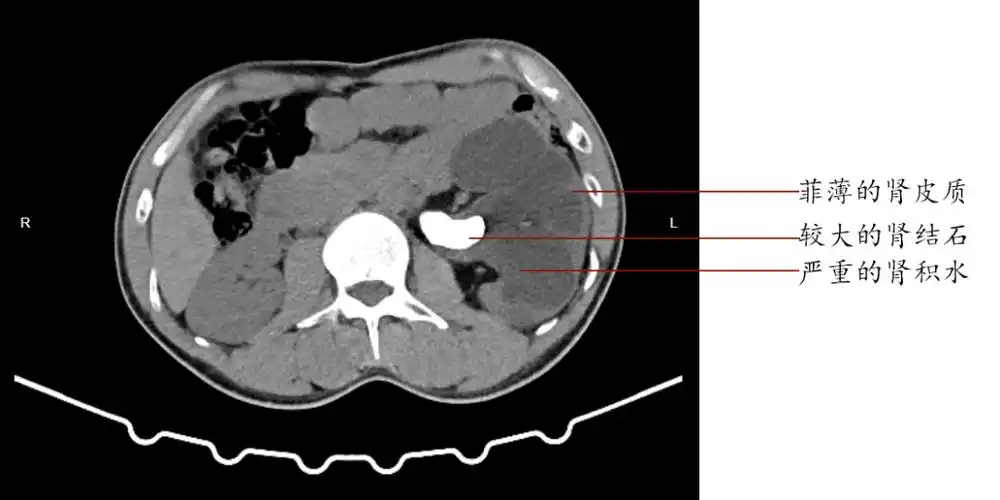
泌尿系统结石之肾结石ct表现

高清图片下载 免费 安全无风险
泌尿系统结石之肾结石ct表现

泌尿系统结石之肾结石ct表现

点击图片查看原图

图片信息

  • 格式: JPG
  • 尺寸: 511x512
  • 大小: 约1.2MB

版权声明

相关标签

自然风光 高清壁纸 4K画质

分享图片

相关推荐

基于当前图片的相似推荐

被冷处理的沉默结石竟令男子左肾几乎报废

/span> /strong> /p> p>据不完全统计, /p> p>我国肾结石发病率为

肾结石的硬度已经颠覆了医生的认知,肾结石的ct值了解一下

女性,22岁,体检发现右肾占位,ct报告:右肾上极强化小结节,mt较aml可能

男性患者,体检发现双肾结石1年,左肾铸型结石:6.0×5.9 - 抖音

左肾结石彩超,ct检查情况2患者目前病情可考虑行经皮肾镜肾结石碎石

云南结石病医院【二级专科医院&省市医保定点】_肾结石_胆结石_保胆保

门诊完善泌尿系ct后以"左输尿管结石伴积水感染"收住院.

郴州市第四人民医院:妙手"拆弹",切除巨大肾上腺肿瘤

肾结石输尿管结石的ct及kub阅片

最新进展 > 正文 后进行ct平扫时,除了发现左侧肾盂结石以外,细心的

男子频繁服用民间排石药治肾结石数年后发现一个肾没了

随机推荐

发现更多精彩图片

乳房不发育是病吗 20岁了乳房都没有发育怎么办

头像卡通女呆萌可爱少女心

钻石等级和净度(钻石等级和净度表)

斗罗大陆唐三小舞牵手图片高清

刘涛究竟有多撩人,健身房大秀马甲线,网友:比男生身材还好

女生头像95正装,职业装系列94欢迎领取.

sans #绘画 #画画 #手绘 #一起学画 - 抖音

天秤座专属头像 可爱

女生的脚底到底有多少看

小班区域活动设计与指导doc3页

女星杨怡活动照,第一张就好美