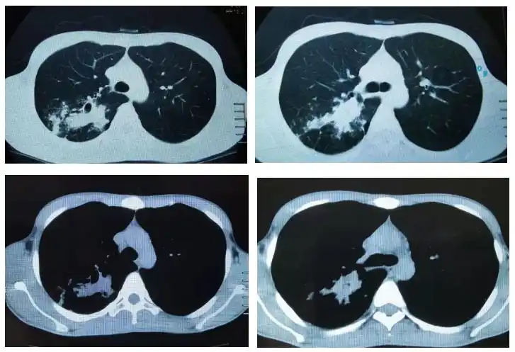
多发小结节状卫星灶的肺结核

高清图片下载 免费 安全无风险
多发小结节状卫星灶的肺结核

多发小结节状卫星灶的肺结核

点击图片查看原图

图片信息

  • 格式: JPG
  • 尺寸: 1600x900
  • 大小: 约1.2MB

版权声明

相关标签

自然风光 高清壁纸 4K画质

分享图片

相关推荐

基于当前图片的相似推荐

双肺弥漫性病变_肺结核

胸部ct双肺继发性肺结核,右上肺空洞形成.

各型肺结核的典型影像表现

没有任何症状的肺结核

没有任何症状的肺结核

肺结核如何诊断从胸部ct到实验室检查一文讲清世界防治结核病日

陈起航教授肺结核的影像学评价遏制终止终结肺结核2

肺结核如何诊断从胸部ct到实验室检查一文讲清世界防治结核病日

总在肺结核影像上「翻车」?老司机带带你

南京江北医院成功治愈难治型肺结核患者

咳嗽咳痰6年小伙吃激素竟吃出肺结核

随机推荐

发现更多精彩图片

asaprocky才是潮流界的绝对霸主

mac苹果电脑上的动漫卡通壁纸

邦德小迷你二代燃油助力车 天津产

二次元走出来的林墨系列③

请问,吉他在家应该怎么放呀?

【虹猫蓝兔七侠传】虹猫 & 蓝兔

50年代广东北江中学校徽铜章一枚

【转】一生飞行850万公里!信天翁习惯漂泊,但无论多远都会回家等伴侣

我走咯 单身喵的一天qq表情包_微信表情包表情

三亚海棠湾jw万豪度假酒店|摄影 by 闵文果

冰箱贴纸翻新贴老款装饰箱门自粘简约现代开门软装墙贴