今年四月查出52并cin1 本月复查52转阴来了51 活检等待结果中

高清图片下载 免费 安全无风险
今年四月查出52并cin1 本月复查52转阴来了51 活检等待结果中

今年四月查出52并cin1 本月复查52转阴来了51 活检等待结果中

点击图片查看原图

图片信息

  • 格式: JPG
  • 尺寸: 1080x810
  • 大小: 约1.2MB

版权声明

相关标签

自然风光 高清壁纸 4K画质

分享图片

相关推荐

基于当前图片的相似推荐

今年四月查出52并cin1 本月复查52转阴来了51 活检等待结果中

hpv16tct轻度炎症活检cin1

今年四月查出52并cin1 本月复查52转阴来了51 活检等待结果中

女性不可忽视的癌前病变宫颈上皮内瘤变cin

cin1cin2慌不慌,牛的就是自信 - 知乎

cin一级是什么意思ppt

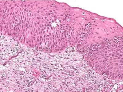
宫颈活检:够cin1级吗? - 专科病理>>女性生殖 - 华夏病理网

hpv加cin1级能自愈的吗?

今天去拿活检结果了,谢天谢地,cin1

hpv6已阴道镜,活检cin1,有中重度糜烂

cin1级怎么治疗cin1级能自愈的吗

随机推荐

发现更多精彩图片

不过相信吴亦凡的不少忠实粉丝是在 2012 年间他在韩国出道,担任 exo

有趣的猫说谢谢.传染媒介例证在动画片样式

女儿结婚请柬模板(女儿结婚请柬微信模板)_竞价网

安踏篮球球鞋男鞋低帮2019皮霸霸道60th纪念篮球鞋

天津之眼图片高清图片天津之眼图片天津之眼照片天津永乐桥摩天轮天津

2022年中国大学新排名榜出炉入榜前十名的学校都有哪些

92尤克里里常用和弦:166c266g366am466am7566em666em77

北京故宫最大戏楼"畅音阁"光绪帝为慈禧花费二十一万两只为听戏