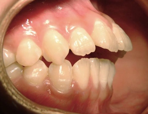
问:一个朋友牙齿挺整齐,但是牙床突出,两侧牙骨突出,请问可以通过矫正

高清图片下载 免费 安全无风险
问:一个朋友牙齿挺整齐,但是牙床突出,两侧牙骨突出,请问可以通过矫正

问:一个朋友牙齿挺整齐,但是牙床突出,两侧牙骨突出,请问可以通过矫正

点击图片查看原图

图片信息

  • 格式: JPG
  • 尺寸: 362x268
  • 大小: 约1.2MB

版权声明

相关标签

自然风光 高清壁纸 4K画质

分享图片

相关推荐

基于当前图片的相似推荐

7岁小孩乳牙牙根从牙龈根部露出,这是怎么回事?

从左数第一颗牙地下部分牙根露出来 一碰就疼不碰不疼

整牙过程中牙根特别凸出怎么办是不是骨开窗啊好担心有没有懂的的小

门牙这个地方牙根暴露应该怎么补?

高位虎牙,牙根太靠颊侧(有图慎入)

门牙的牙根 这情况快2年整了 不知道是什么 用指甲按会微疼 很早就有

大门牙一颗突了出来,是旁边一个牙齿卡到了所以突了

1最近左边牙齿牙龈(大概牙齿根部)有小白色突起,按压酸痛.

随机推荐

发现更多精彩图片

青3总决赛排名出炉余景天蝉联第一刘隽梁森双双跌出道位

古风美女温婉唯美迷人写真,高清壁纸图片,大陆美女-回车桌面

铁岭七里屯村影视基地的葫芦照片

运动医学科余家阔的项目和眼科冯云的项目获得一等奖;成形科赵振民的

密码矢量图标隔离在透明背景下, 密码透明度概念可用于 web 和移动

长春公交3路a线人民广场北湖公园第一视角pov

东部之王勒布朗詹姆斯

cs热门竞技地图各单位名称大全

《西游降魔篇》天残脚果然名不虚传,秒天秒地把孙悟空都打退了,不料