民族团结绘画#民族意识绘画#儿童简笔画#小学生手抄报#手拉 - 抖音

高清图片下载 免费 安全无风险
民族团结绘画#民族意识绘画#儿童简笔画#小学生手抄报#手拉 - 抖音

民族团结绘画#民族意识绘画#儿童简笔画#小学生手抄报#手拉 - 抖音

点击图片查看原图

图片信息

  • 格式: JPG
  • 尺寸: 1440x1648
  • 大小: 约1.2MB

版权声明

相关标签

自然风光 高清壁纸 4K画质

分享图片

相关推荐

基于当前图片的相似推荐

民族团结主题画.#儿童绘画作品 - 抖音

民族团结绘画 #铸牢中华民族共同 - 抖音

铸牢中华民族共同体意识恭城民族中学开展民族团结一家亲绘画比赛

民族团结主题绘画.阳光下成长,天下大同 美美与共 各美其美, - 抖音

民族团结主题绘画 民族团结主题绘画

中国梦主题绘画 民族团结一家亲

民族团结进步绘画比赛获奖作品展示六

中国梦主题绘画 民族团结一家亲

《民族团结》主题画 国庆节假期已结束,晒晒宝贝的假期作业

民族团结儿童画,中国梦绘画

随机推荐

发现更多精彩图片

[华晨宇][分享]170903 华晨宇从肉肚到腹肌的励志蜕变 你还不减肥的

艾特出你身边的吴彦祖#吴彦祖 #壁纸头像 - 抖音

的挂历女神,原汁原味天然美,竟找不出一个重样的_朱琳_南龚雪_刘晓庆

星球毁灭模拟器2021最新版下载solarsmashv147

扇子舞《满乡秀色》

四驱30t的奔驰斯宾特商务车上海现车在售

柳叶白前 cynanchum stauntonii (decne.) schltr. ex h.lév.

终于到我发图养了三年的君子兰开花了

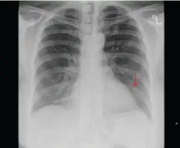
图1:胸片示一个1.3厘米的结节,箭头所示).

十六款李氏专属姓氏头像

桃木树枝镇宅辟邪打小鬼新房搬家棍g棒挂件入宅用品乔迁之喜婴儿