别墅阳台遮阳雨棚是一种安装在别墅阳台上的遮阳,避雨设施,具有以下

高清图片下载 免费 安全无风险
别墅阳台遮阳雨棚是一种安装在别墅阳台上的遮阳,避雨设施,具有以下

别墅阳台遮阳雨棚是一种安装在别墅阳台上的遮阳,避雨设施,具有以下

点击图片查看原图

图片信息

  • 格式: JPG
  • 尺寸: 640x853
  • 大小: 约1.2MB

版权声明

相关标签

自然风光 高清壁纸 4K画质

分享图片

相关推荐

基于当前图片的相似推荐

铝合金雨棚露台遮阳棚别墅阳台雨棚天台遮雨棚户外车棚庭院遮阳棚

铝合金雨棚遮阳遮雨蓬阳台户外别墅庭院楼顶天台透明耐力板露台棚

进来看!露台雨棚搭建可以用这种材料

铝合金雨棚遮阳棚阳台别墅庭院天台小区家用户外露台楼顶挡雨棚

铝合金雨棚阳台防雨遮阳棚雨篷别墅庭院户外露台家用车棚露天雨搭

户外铝合金露台阳台遮雨棚别墅庭院院子遮阳棚防雨屋檐门上挡雨棚 16

窗户阳台露台别墅雨搭雨篷户外家用防雨透明遮阳棚

铝合金遮阳雨棚露台棚

新巧品牌铝合金遮阳棚雨棚露天阳台雨棚门窗雨棚阳光棚厂家定制安装

阳台雨棚用什么材料的好阳台雨棚效果图

随机推荐

发现更多精彩图片

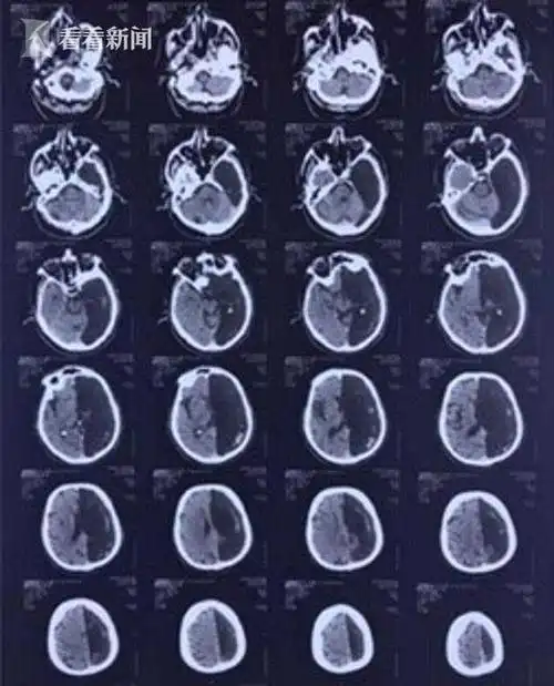
原创神奇60岁老人做头部ct左脑是空的仅靠半个大脑存活

新店开业大酬宾活动海报psd源文件

江作青罗带,山如碧玉簪,美景美食山水甲天下的旅游圣地——桂林

自营versace范思哲新款商务手表瑞士美杜莎轻奢钢带瑞士腕表

漩涡鸣人自截头像无时不刻都是爽朗的笑容

高级灰气质优雅,有着男性化的一面,与时尚热辣的亮橙搭配,就像是绅士

【图】陈晓张芷溪终成眷属 《五鼠闹东京》完美收官

诸事不宜是啥意思呀(诸事不宜什么意思简介介绍)_3d视窗网

未来的鞋子作文400字