今天上午重度桶状胸的小手术

高清图片下载 免费 安全无风险
今天上午重度桶状胸的小手术

今天上午重度桶状胸的小手术

点击图片查看原图

图片信息

  • 格式: JPG
  • 尺寸: 455x498
  • 大小: 约1.2MB

版权声明

相关标签

自然风光 高清壁纸 4K画质

分享图片

相关推荐

基于当前图片的相似推荐

孙民焱 的想法: 桶状胸 年青阶段较容易误认为是强壮感 - 知乎

什么原来桶状胸是病

图11,三维重建显示桶状外观.图10,胸壁于肋弓水平依然前突.

图2,桶状胸外观.图1,胸廓呈桶状外观.

图2,桶状胸外观.图1,胸廓呈桶状外观.

什么原来桶状胸是病

图1,胸壁外观呈桶状.

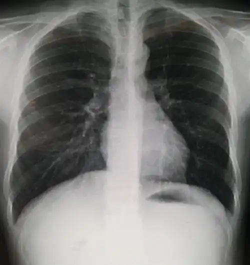
(前胸壁严重整体前突,外观为桶状)(重度桶状胸,严重胸廓畸形)入院查体

他还有公共场合吸入违禁品的黑历史,所以肺部产生肺气肿导致桶状胸的

今天上午重度桶状胸的小手术

桶状胸,胸廓接近正方形,明显肺气肿

今天的wenlin手术:桶状胸的微创治疗方法

随机推荐

发现更多精彩图片

22mm 东京食尸鬼 美瞳 红色漫森(缺货中)

求中二病也要谈恋爱的高清壁纸,越多越好!

二滩温哥华-高清宽屏壁纸 - 1440x900 壁纸 下载

宣威美女王雅洁连续两年登上央视元宵晚会

其它 带你了解皮肤结构 写美篇正确了解皮肤结构 皮肤是人体的天然

考研的同学,必胜!【考场突发状况应对方法】 q1:考试期间能 - 抖音

《城堡》马克笔创意儿童画 简笔画 附线稿

美丽温柔的拉祜族礼仪姑娘,问你们有人动心没?

[浙江]余杭老年活动中心环境设计施工图

体验过凯迪拉克ct6我明白了何为后排的享受