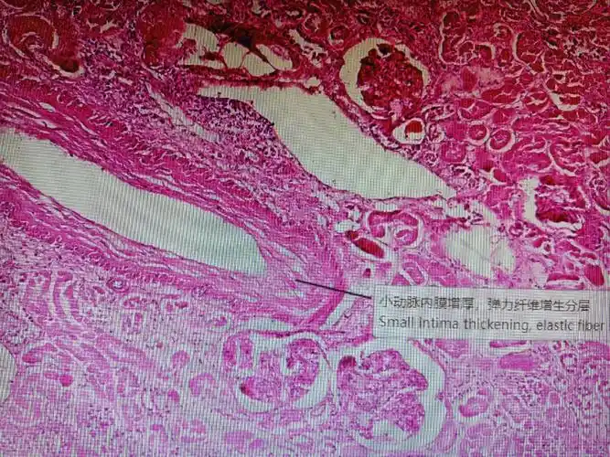
动脉粥样硬化2.高血压性固缩肾3.风湿性心肌炎

高清图片下载 免费 安全无风险
动脉粥样硬化2.高血压性固缩肾3.风湿性心肌炎

动脉粥样硬化2.高血压性固缩肾3.风湿性心肌炎

点击图片查看原图

图片信息

  • 格式: JPG
  • 尺寸: 1080x764
  • 大小: 约1.2MB

版权声明

相关标签

自然风光 高清壁纸 4K画质

分享图片

相关推荐

基于当前图片的相似推荐

病理切片红蓝铅笔手绘图

学部动态|丹青妙笔绘医学之美——记医学部病理系解绘画大赛

病理组织切片观察六心血管系统疾病下

中动脉,中静脉,甲状腺源源

每个学校的切片不同若有歧义以书本为主仅供复习参考不典型的切片不用

甲状腺胸腺髓质中动脉脊髓横纵切面脊髓前角多级神经元血细胞说实话

【图解组胚】大中小动脉的玻片识别:都是动脉,咋这么不一样呢

只能放九张哇肾凝固性坏死肝脓肿霍奇金淋巴瘤动脉粥样硬化小叶性肺炎

随机推荐

发现更多精彩图片

郑爽成功吸引上海税务北京广电的注意

hol 180度调整式半圆分度规 不锈钢角度尺不锈钢量角器万能角度尺

画了软趴趴的三丽鸥头像,你们最想抱走哪只?__财经头条

带娃珍贵录像短视频画渣手残指绘undertalesanspapyruspapysans帕衫骨

天然闪灵钻水晶手工戒指

我就是喜欢放大招,收藏版的gif表情包,你都有嘛?

fila斐乐官方运动卫衣女士帽衫

金色,金属拉丝,光泽,质感,海报bann.

装修风格有不同的铺贴技巧,最基本的是精工大理石的选择要与整个居室

话说大家还记得《笑林小子乌龙院》中出演小胖而红极一时的的童星