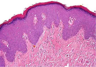
【衡道丨笔记】阴茎鳞状上皮增生性病变病理诊断(第一讲)|上皮|细胞

高清图片下载 免费 安全无风险
【衡道丨笔记】阴茎鳞状上皮增生性病变病理诊断(第一讲)|上皮|细胞

【衡道丨笔记】阴茎鳞状上皮增生性病变病理诊断(第一讲)|上皮|细胞

点击图片查看原图

图片信息

  • 格式: JPG
  • 尺寸: 848x393
  • 大小: 约1.2MB

版权声明

相关标签

自然风光 高清壁纸 4K画质

分享图片

相关推荐

基于当前图片的相似推荐

左侧为正常子宫颈鳞状上皮,右侧为非典型增生的鳞状上皮,表现为细胞

外阴鳞状上皮细胞增生

【衡道丨笔记】阴茎鳞状上皮增生性病变病理诊断(第一讲)|上皮|细胞

外阴鳞状上皮细胞增生

【衡道丨笔记】阴茎鳞状上皮增生性病变病理诊断(第一讲)|上皮|细胞

【衡道丨笔记】阴茎鳞状上皮增生性病变病理诊断(第一讲)|上皮|细胞

女性32岁体检取子宫颈活检见鳞状上皮细胞轻度异型异型细胞局限于上

【衡道丨笔记】阴茎鳞状上皮增生性病变病理诊断(第一讲)|上皮|细胞

女性32岁体检取子宫颈活检见鳞状上皮细胞轻度异型异型细胞局限于上

萎缩的子宫颈鳞状上皮细胞

随机推荐

发现更多精彩图片

开启假期学习之旅――参加重庆谢家湾小学"小梅花"课程工作坊学习(三)

简欧风紧凑型四居室施工图设计(附效果图)

临床常表现为脾肿大,肝肿大,骨痛,贫血,血小板减少,神经系统症状等,也

俏皮可爱呆萌动漫女生头像图片

张家港城西购物公园保利熙悦实景图23- 吉屋网

日本五岛列岛在地图上的位置.

鸡血玉平安扣.#纯天然奇石 #美石分享 #俏色巧雕 #看得见 - 抖音

未来5年中国第四代核电行业的预测分析 - 财经头条 - 股票

张作霖沈阳大帅府:建筑气派讲究,图9是杨宇霆和常荫槐被杀场所_张学良