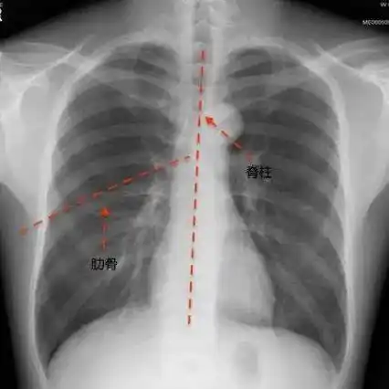
一般来说,爸妈可以这么自检:让宝宝平躺,然后观察他最下缘的肋骨,如果

高清图片下载 免费 安全无风险
一般来说,爸妈可以这么自检:让宝宝平躺,然后观察他最下缘的肋骨,如果

一般来说,爸妈可以这么自检:让宝宝平躺,然后观察他最下缘的肋骨,如果

点击图片查看原图

图片信息

  • 格式: JPG
  • 尺寸: 740x493
  • 大小: 约1.2MB

版权声明

相关标签

自然风光 高清壁纸 4K画质

分享图片

相关推荐

基于当前图片的相似推荐

很多宝宝平躺时会有肋骨外翻的症状,妈妈们遇到这种情况往往很容易

俗话说"一个萝卜一个坑",胸口上有个坑是咋回事?

你不经意的一个动作有可能就是宝宝肋骨外翻的原因你知道么

孩子肋骨外翻不用管错这类长大不会好

我现在的身高体重差不多就是正常标准的 不胖不瘦吧.

2岁宝宝肋骨怪异高耸,医生告知原因妈妈后悔不已,要注意!

宝宝肋骨外翻就是佝偻病?

正常的胸廓左右对称,如果出现胸廓左右不对称,鸡胸,漏斗胸及肋骨隆起

婴儿肋骨外翻正常吗?妈妈应该怎样做?

随机推荐

发现更多精彩图片

赵丽颖难掩吃货本性,细嚼慢咽显淑女,与杨幂鞠婧祎成对比_腾讯新闻

锁屏壁纸哆啦a梦蓝胖子

专访香港保安局局长邓炳强23条立法只针对少数危害国安行为

徐悦盛夏纯净写真曝光 清新怡人灵气四溢

其它 朋友(原创) 写美篇 从字形上看,友字是两手相握,朋字是两串玉

宝宝满月百日周岁生日宴邀请函电子请柬

外国硬币钱币收藏 孟加拉 含5枚铝币《9枚套》(大图展示)

3胎安排18号航母叫江苏舰还是广东舰谁能得此殊荣

积木moc机甲小机甲突击部队拼装玩具创意礼品乐享鸟叔积木