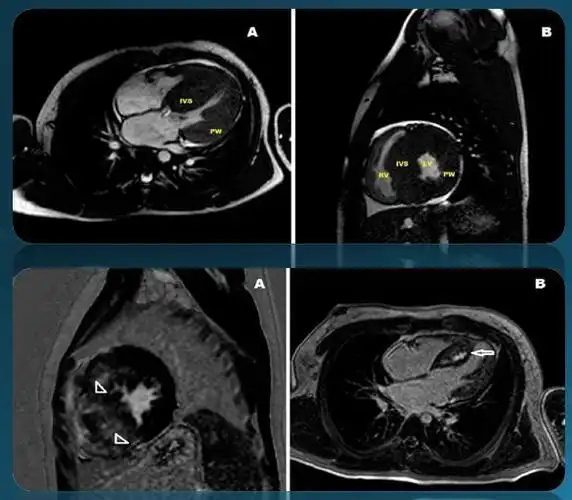
心脏有两个心房(左,右心房)和两个心室(左,右心室),在左心房和左心室

高清图片下载 免费 安全无风险
心脏有两个心房(左,右心房)和两个心室(左,右心室),在左心房和左心室

心脏有两个心房(左,右心房)和两个心室(左,右心室),在左心房和左心室

点击图片查看原图

图片信息

  • 格式: JPG
  • 尺寸: 536x526
  • 大小: 约1.2MB

版权声明

相关标签

自然风光 高清壁纸 4K画质

分享图片

相关推荐

基于当前图片的相似推荐

左心室肥厚的症状,左心室肥厚怎么办,左心室肥厚护理_引起原因_百姓

心电图病例分析左心室肥大

科普|聊聊肥厚型心肌病(hcm)那些事_患者_心脏_临床

【才俊讲堂】孔令秋:左心室肥厚的诊断方法

主题: 电气性和解剖性左心室肥大的临床诊断

左心室肥厚比如"肥"了更危险在一些我们看不见的内脏器官万

心电图可以作为一个有用的筛选工具,显示左心室肥厚(下图),时间间隔变

心肌梗死qrs波时限:束支传导阻滞qrs波电压:rv5 高,左心室肥大;rv1 高

左心室肥大原因及危害是什么如何预防左心室肥大

促使左心室心肌不断增厚肥大,左心腔扩大 , 如果长期高血压得不到

随机推荐

发现更多精彩图片

黄晓明携新女友工作秀恩爱,赵仕瑾含情脉脉身材傲人,乘车返爱巢

摩登兄弟刘宇宁壁纸(一百四十三) 第一张啊啊啊好适合当壁纸啊好奶好

《鬼吹灯之黄皮子坟》人熊现身啦 阮经天竟主动投入人熊怀抱

你们要的实体303的故事来啦我的世界

2016香港小姐#在吐槽声中进行,这边香港先生也决出10强了!

山西为什么简称"晋"?

《梦幻模拟战1 2》宣布中文版延期至11月21日正式发售 重制合辑将追加

大健康商学院分享十二时辰养生胆经

玛莎拉蒂超级跑车白色 壁纸 - 1280x1024

卫生间干湿分离设计方案效果图