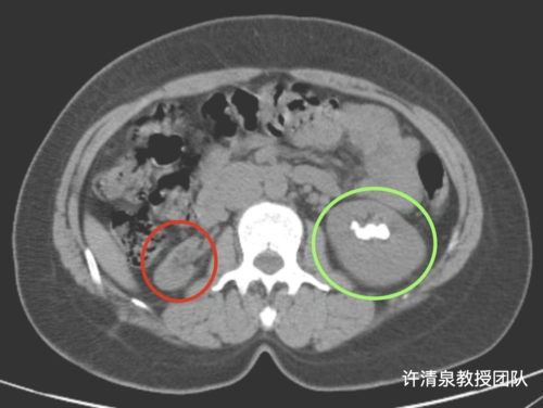
ct影像显示肾脏被巨大结石霸占.长沙晚报通讯员 胡薇华 陈昊 供图

高清图片下载 免费 安全无风险
ct影像显示肾脏被巨大结石霸占.长沙晚报通讯员 胡薇华 陈昊 供图

ct影像显示肾脏被巨大结石霸占.长沙晚报通讯员 胡薇华 陈昊 供图

点击图片查看原图

图片信息

  • 格式: JPG
  • 尺寸: 800x733
  • 大小: 约1.2MB

版权声明

相关标签

自然风光 高清壁纸 4K画质

分享图片

相关推荐

基于当前图片的相似推荐

患者ct片显示左右两侧肾结石多发且较大据黄苏宁主任介绍,该患者病情

结石致重度肾积水 - 好大夫在线

ct提示钙盐沉着在双肾肾髓质而形成肾钙质沉着,并形成广泛多发结石

ct片上显示肾里塞满了结石

左肾结石-右肾萎缩_肾萎缩_发病原因_治疗方式 - 好大夫在线

病例分享|重视无症状肾结石,定期体检,早发现,早治疗

肾结石_治疗方式_日常注意事项 - 好大夫在线

五个痛风就有一个肾结石长在肾脏上的痛风你该知道这些

泌尿系统结石之肾结石ct表现 - 好大夫在线

泌尿系统结石之肾结石ct表现 - 好大夫在线

随机推荐

发现更多精彩图片

拆弹专家2震撼来袭新讯邀你和刘德华刘青云一起解核弹危机

【头像】rose朴彩英-月球通缉犯(滤镜头像)-话本小说网

网站首页 素材中心 历史素材 历史图片素材

diy滴胶手镯手工制作水晶树脂胶模具材料包套装女孩生日礼物女生

二手车批发.特价出178500 2016年4月奔驰glc20 - 抖音

长方体结构素描画法

在岑川抗日烈士英雄名单

这是什么花》求解答.在线等 谢谢

77英姐广州护肤工厂的快手直播

自己在家练瑜伽可以吗? - 知乎