胸部ct 薄层ct可以发现肺大泡,另外一些隐匿部位的气胸,胸片不能发现

高清图片下载 免费 安全无风险
胸部ct 薄层ct可以发现肺大泡,另外一些隐匿部位的气胸,胸片不能发现

胸部ct 薄层ct可以发现肺大泡,另外一些隐匿部位的气胸,胸片不能发现

点击图片查看原图

图片信息

  • 格式: JPG
  • 尺寸: 1184x1079
  • 大小: 约1.2MB

版权声明

相关标签

自然风光 高清壁纸 4K画质

分享图片

相关推荐

基于当前图片的相似推荐

气胸的x线表现,6个病例搞定!

气胸患者胸部x线表现

气胸的典型影像学表现 - 好大夫在线

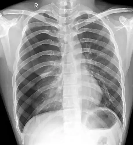
一侧气胸肺严重压缩

图解胸外自发性气胸的诊断和治疗

气胸|x线|胸片|-健康界

气胸_疾病介绍_介绍 - 好大夫在线

自发性气胸一例 - 好大夫在线

气胸与张力性气胸的病因影像学表现总结以影识病

左侧气胸(肺被压缩约20%)

气胸|x线|胸片|-健康界

随机推荐

发现更多精彩图片

自2018年以来,李现已经连续六年为杨紫庆祝生日,这份友情让人羡慕不已

6-30 17:48 来自 微博视频号

邓伦我是大侦探高清图片

《哪吒传奇》中的妲己跟石矶和申公豹一起干了不少坏事,小时候真的很

badgirl美式辣妹证件照来袭

人类为了把生蚝吃得更爽竟然阻止生蚝谈恋爱

1969年,他插足"学生情人"林翠(老戏骨曾江的妹妹)与导演秦剑的婚姻

田氏微信头像壁纸图片 田氏头像带字

沟北村建设特色果蔬大棚赋能乡村振兴

时装画婚纱礼服时装秀look报道96.11566 zuhair - 抖音