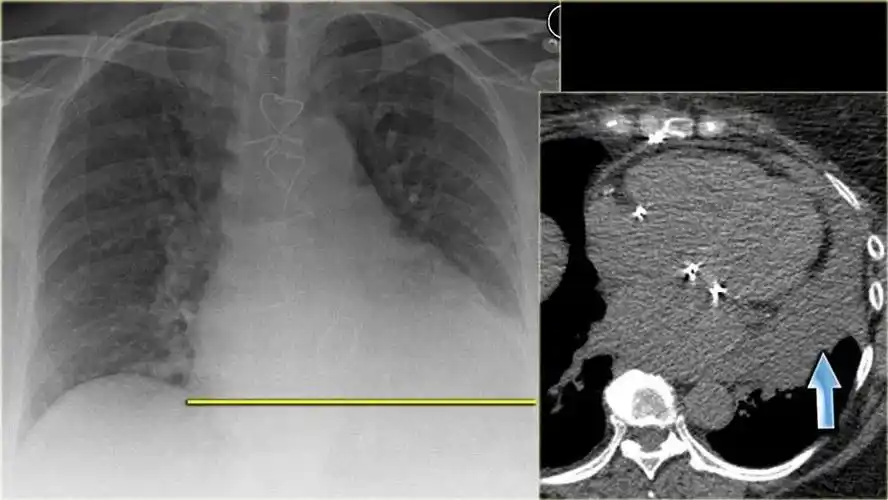
不同类型肺水肿的ct表现(上)

高清图片下载 免费 安全无风险
不同类型肺水肿的ct表现(上)

不同类型肺水肿的ct表现(上)

点击图片查看原图

图片信息

  • 格式: JPG
  • 尺寸: 561x470
  • 大小: 约1.2MB

版权声明

相关标签

自然风光 高清壁纸 4K画质

分享图片

相关推荐

基于当前图片的相似推荐

经典影像之急性肺泡性肺水肿

图4 肺泡性水肿ct扫描.双侧肺门气道病变几乎对称(有空气支气管征).

肺水肿的典型与不典型影像表现,最全总结_肺泡

云影胸心组知识要点及病例汇总137肺泡性肺水肿 隐球菌感染

急性肺水肿急性肺水肿措施

f,45,心源性肺泡性肺水肿.双肺内中带分布.

伴弥漫性肺泡损失 毛细血管通透性肺水肿伴弥漫性肺泡损伤主要指急性

什么是复张性肺水肿?

肺水肿的影像学表现

不同类型肺水肿的ct表现

随机推荐

发现更多精彩图片

宋丹丹自曝今年晚会后退出舞台,网友议论纷纷_高清图集_新浪网

出差的商务人士高清图片

新年好(葫芦丝谱)(1)_原文件名:新年好_副本.png

英雄联盟中盖伦的黄金骑士和钢铁军团的图片

怀孕40天了,今天晚上肚子疼,突然流血,还流出一块类似血团的不明物,不

t3终极幻影5块起此qq飞车账号已出租0次帐号出租-租号玩

手绘单膝跪地穿西服的小男孩

我的世界mc动画:实体303的故事,实体303与孩子森林冒险

christian louboutin yellow fifi 80 nubuck 高跟鞋 4314186 695.

为何越来越多人不建议瓷砖通铺?女友执意跟风,入住3年苦不堪言

海信扬州冰箱生产基地走访:机器只是代替 工人还是主力

色块油画风景有种莫名的舒适感