那一次袁泉身穿花式繁复的湖蓝色丝绸长裙,长裙罩住她纤细的骨骼.

高清图片下载 免费 安全无风险
那一次袁泉身穿花式繁复的湖蓝色丝绸长裙,长裙罩住她纤细的骨骼.

那一次袁泉身穿花式繁复的湖蓝色丝绸长裙,长裙罩住她纤细的骨骼.

点击图片查看原图

图片信息

  • 格式: JPG
  • 尺寸: 400x233
  • 大小: 约1.2MB

版权声明

相关标签

自然风光 高清壁纸 4K画质

分享图片

相关推荐

基于当前图片的相似推荐

比如《我的前半生》中的唐晶(袁泉 饰),就是羊毛大衣的忠实拥趸.

如何像袁泉一样拥有一张高级脸

袁泉30岁后你的外表会替你说话

袁泉的高级脸垮了,因为这个90%的人都会犯的错

267_255gif 动态图 动图

您说的是gif我的前半生gif袁泉gif

唐晶贺涵走不过10年而袁泉夏雨携手18年相爱如初

袁泉gifsoogifgifsoogif出品gif我的前半生gif开心gif还是你了解我gif

吐槽快让袁泉来教下安吉拉北鼻吧

我的前半生gif袁泉gif嗯gif疑问gif

袁泉gif女神gif影视gif高级感gif魅力gif

随机推荐

发现更多精彩图片

(七尾人柱力-枫)上手体验全技能展示,空中小蜻蜓,1技能可蹭豆另外有

梁咏琪穿无袖衬衫秀香肩 短发利落妆容精致

4步就能画各种鱼的简笔画,非常适合零基础入门教程

陈数受邀出席人物年度女性力量盛典演讲获笃定的力量荣誉

中国女明星人气排行榜(盘点2022十大人气女星)插图1

中街冰点大果雪糕冰棍麻酱冷狗牛奶芝麻口味冰淇淋

爱的罗曼史吉他谱_叶佩斯_g调指弹_快乐人编配 - 吉他世界

白莲花 桌布 - 1920x1440

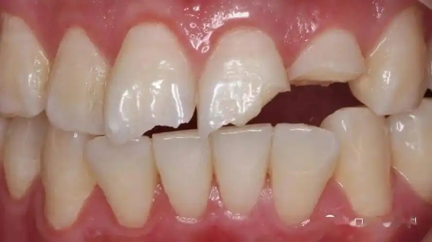
【病例分享】复合树脂修复前牙外伤一例

晚上十点的长沙火车站03