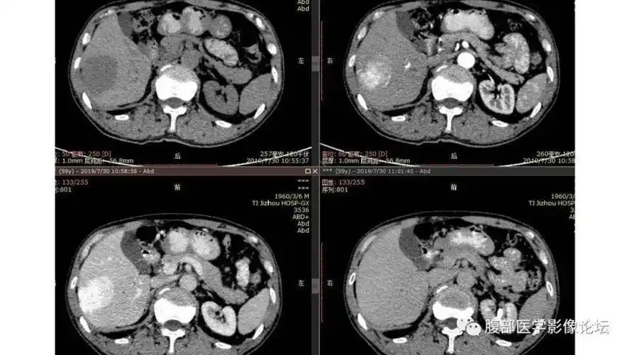
小铭哥 :36 血管瘤 天涯 :36 海绵宝宝 夏威夷的风 :36 海绵状

高清图片下载 免费 安全无风险
小铭哥   :36 血管瘤 天涯   :36 海绵宝宝 夏威夷的风   :36 海绵状

小铭哥 :36 血管瘤 天涯 :36 海绵宝宝 夏威夷的风 :36 海绵状

点击图片查看原图

图片信息

  • 格式: JPG
  • 尺寸: 857x657
  • 大小: 约1.2MB

版权声明

相关标签

自然风光 高清壁纸 4K画质

分享图片

相关推荐

基于当前图片的相似推荐

肝内多发血管瘤,求助博莱碘化油

【肝血管瘤】介入微创治疗

执业医师实践技能影像学ct诊断《肝血管瘤》

(肝血管瘤的典型ct图像,肝血管瘤可以通过增强ct确诊)六,普及了这么多

肝门胆管癌非常难处理的肿瘤之一

6, 腹部增强ct(2020-11-25,我院):1,肝脏多发血管瘤2,胆囊结石3,左肾

肝脏血管瘤影像学表现及鉴别诊断二影像天地

肝脏血管瘤影像学表现及鉴别诊断(一) | 影像天地

ct显示肝左叶大血管瘤

巨大肝血管瘤介入治疗

肝血管瘤介入治疗效果这么好,您知道吗? - 好大夫在线

随机推荐

发现更多精彩图片

【认尸启事】兴国湿地公园路段发生交通事故,一行人当场死亡(内含不适

10位爱情干净的"老戏骨",最长65年,最短30年,这才叫榜样_陈道明_妻子

脚上出现4种症状,可能是某些疾病信号,医生建议:需重视

h字母企业logo设计图片

华晨宇啃啃mc王牌花甜向总结

回顾著名演员任帅我这辈子正确的决定就是娶了一个平凡的妻子

动物世界20款疯狂动物城字体设计

mr.andrew餐车涂装设计

10个大牌包包的标志 哪个你最喜欢?-品牌世界网

一线导演评委:刘进寄语:鹰眼匠心榜,致力于用鹰一般敏锐的眼光,挑选